正常胸片示意图

写美篇朋友们来医院检查,经常在x线胸片或ct检查报告中看到"两肺纹理
图片尺寸640x474
胸部正常解剖ppt
图片尺寸1080x810
超详细胸片教学 不信你还学不会!
图片尺寸640x707
胸片x线基础.#医学影像 #图文伙伴计划 #医学生 #解剖 - 抖音
图片尺寸1129x1089
胸片可见: 1. 右心缘:上段为上腔静脉,下段为右心房右缘; 2.
图片尺寸534x526
x线胸片分叶分段,你学会了吗?胸片最容易混淆的分叶分段详解图 - 抖音
图片尺寸1064x976
全面解密:正确的,正常的,胸部正位片!
图片尺寸437x520
侧位胸片,这 5 个关键区域一定要记清
图片尺寸640x770
胸部正位x线图片
图片尺寸512x354
x线正常解剖ppt
图片尺寸1080x810
【共享】如何读胸片.
图片尺寸523x471
本期话题胸片不是只有医生才能懂
图片尺寸412x400
正常女性胸片 乳房影
图片尺寸1080x810
正常胸片x光
图片尺寸1088x1200
2012年执业医师技能考试——x线答案ppt
图片尺寸1080x810
影像解剖入门正常胸片怎么看
图片尺寸649x719
6步法从胸片进行胸部评估
图片尺寸584x378
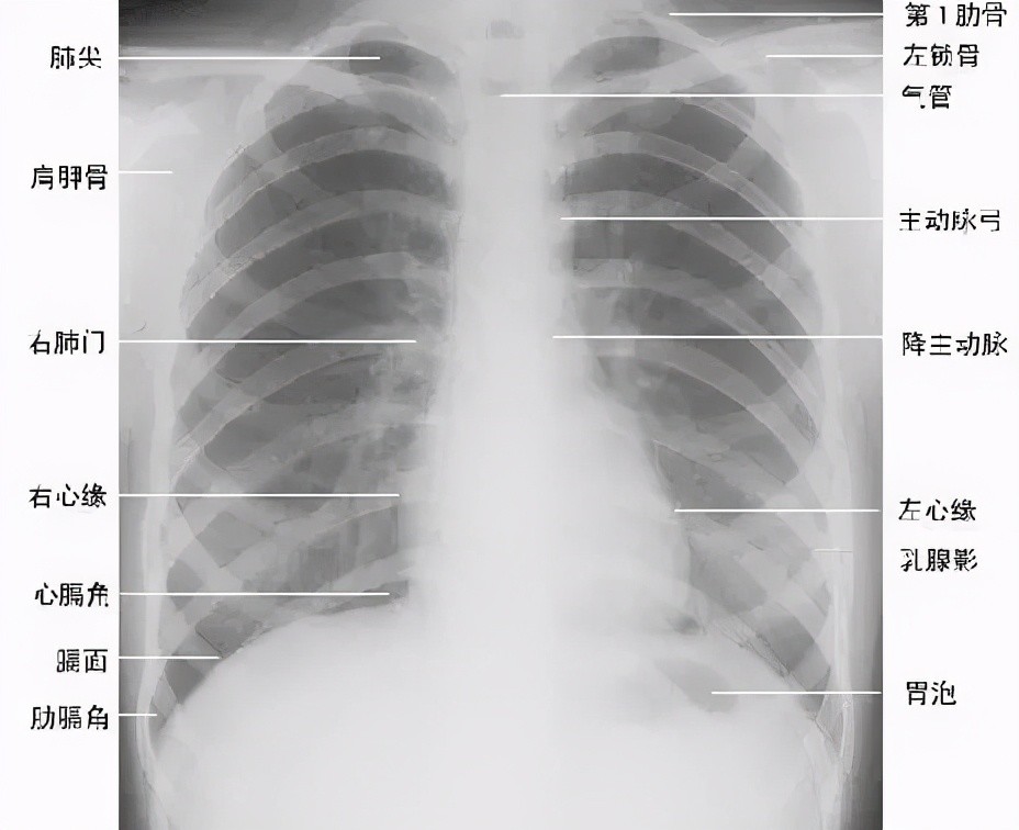
胸片入门攻略,看完不信你还学不会
图片尺寸928x756
影像解剖:正位胸片上如何数肋骨?放射科医生讲解
图片尺寸1024x576
胸片入门攻略,看完不信你还学不会
图片尺寸1000x985