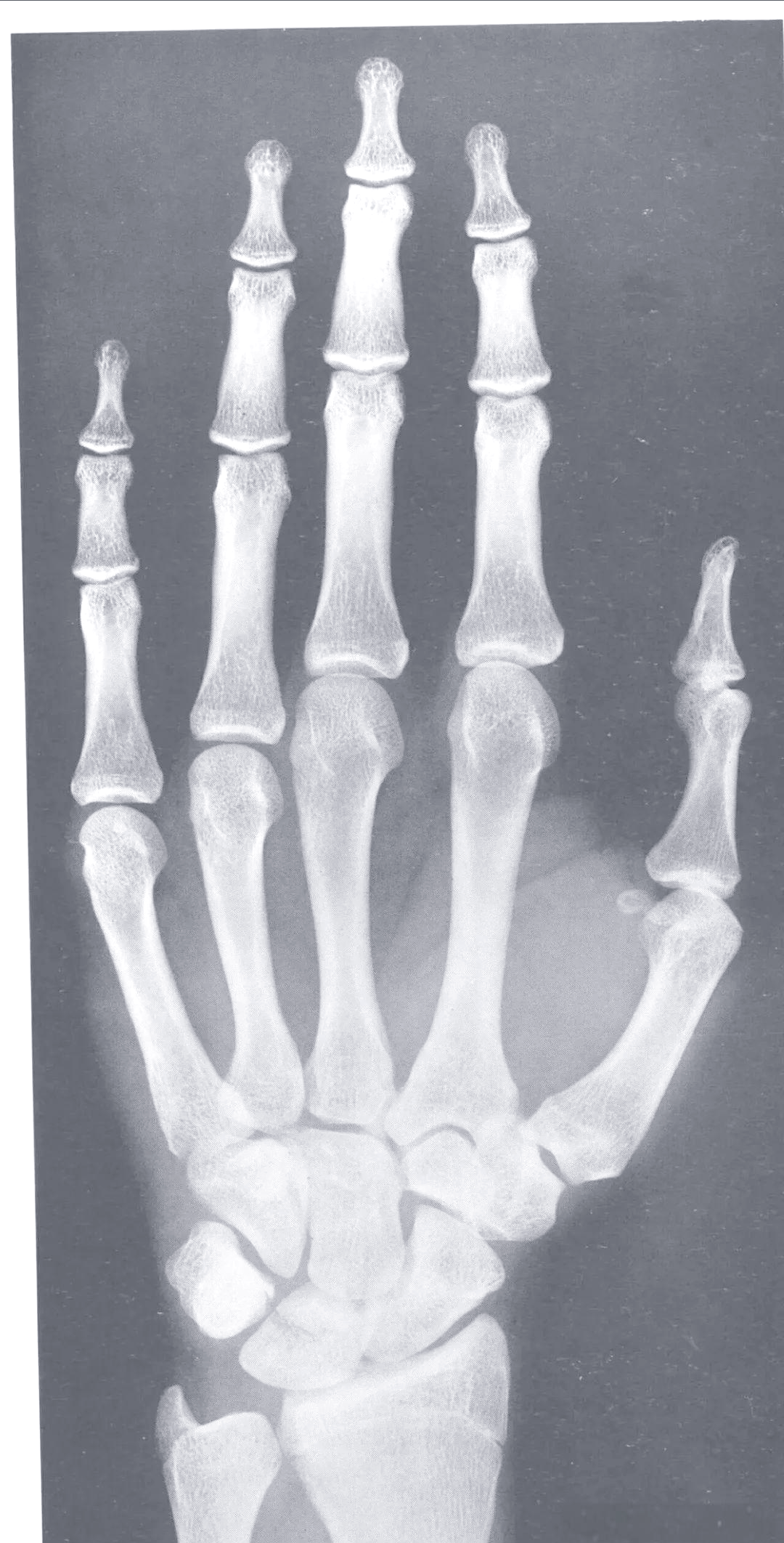
正常腕骨x光图

腕关节x线解剖图
图片尺寸1888x1280
西医可以通过手腕x光片来判断骨龄,看骨骺是否闭合,判断生长空间是否
图片尺寸1020x1000
手腕关节骨头痛是怎么回事?真的是这个原因
图片尺寸800x969
骨关节病例 45 腕关节照片?
图片尺寸819x1111
骨折线若与拍摄平面平行,正侧位片难显清晰
图片尺寸1438x2118
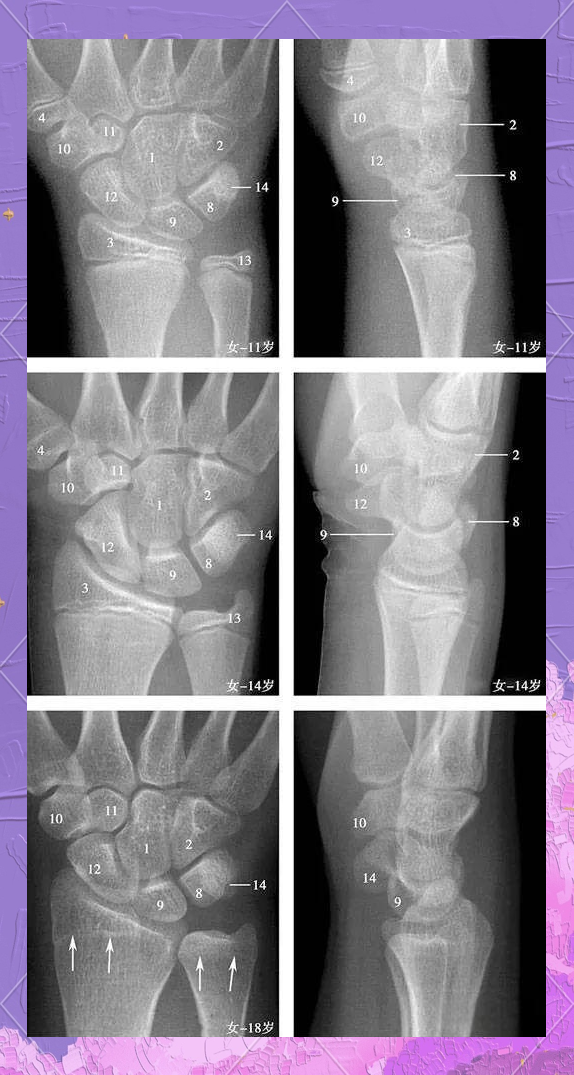
腕关节x线片:成人及生长期的全面解析
图片尺寸574x1075
转发提醒:5岁以上孩子出现身高异常,务必尽早到正规医允滞 x光正常
图片尺寸800x1200
赖氨酸一般不会促进骨龄闭合
图片尺寸1362x2048
在正常情况下,骨龄与实际年龄之间的差异应控制在±1岁以内,若偏离此
图片尺寸1080x2124
阅片显示,患者左腕骨已出现8块,形态成熟,同时尺桡骨,掌指骨骨骺状态
图片尺寸1080x1418
桡骨远端骨折号称人生的第1次骨折,在中老年人群当中非常的常见
图片尺寸1171x1005
左手腕骨片拍摄及翻拍要点,求大神看骨龄
图片尺寸580x1255
一,临床意义的三个维度生长潜力评估:腕骨融合程度可预测剩余生长空间
图片尺寸1242x991
上图为9岁儿童正常腕关节正侧位图像正常腕关节:01由于儿童骨质的特殊
图片尺寸966x772
腕关节x线解剖
图片尺寸921x1080
x光片:腕关节
图片尺寸1920x1080
图片尺寸2160x2880
一例比较少见的桡舟关节创伤性关节炎病例
图片尺寸1440x1920
腕关节一问 撞击?
图片尺寸3024x4032
手腕用力或旋转时疼痛可能由多种原因引起
图片尺寸919x871