正常膀胱ct图片

(膀胱充盈,与周围组织分界清晰)⑤育龄期女性,应该提前告知医生自己
图片尺寸710x525
正常膀胱前列腺在ct上什么表现放射科医生分享解剖
图片尺寸1024x576
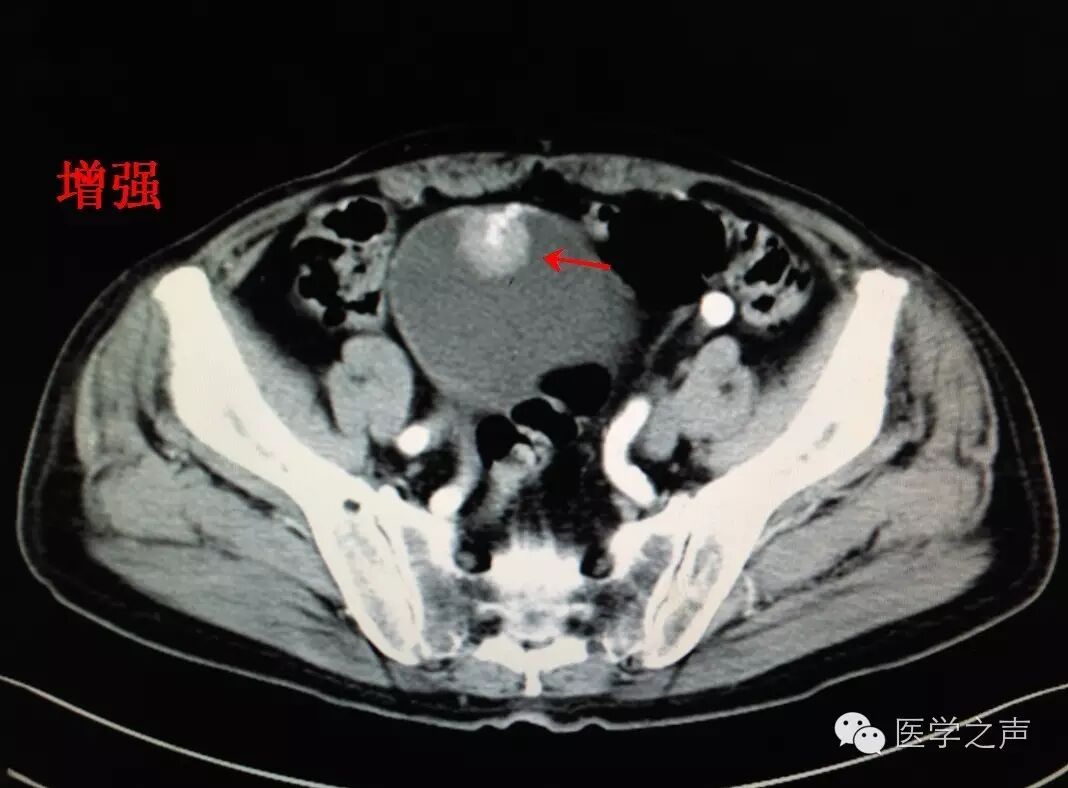
刘女士盆腔增强ct(红圈内灰色部分均为膀胱肿瘤)
图片尺寸1000x1000
膀胱前列腺,ct/mri现病变.请您高见.即将活检. - 丁香园论坛
图片尺寸512x512
检查发现为前列腺增生,膀胱结石(结石3.9厘米).并且行了盆腔c
图片尺寸1448x1086
膀胱弥漫性增厚考虑什么
图片尺寸1080x1440
酒后憋尿摔一跤 小伙子膀胱磕破了_尿液
图片尺寸2000x1502
膀胱占位影像诊断知识要点
图片尺寸1028x972
1.2o19年3月全腹平扫 增强ct,膀胱部分片3
图片尺寸2000x2667
1月20日增强ctu ,膀胱部分片2
图片尺寸2000x2667
ct:左输尿管末端肿瘤61 核磁共振检查(mri):核磁共振成像的原理比较
图片尺寸1942x1960
膀胱损伤
图片尺寸1142x1545
【迁医健康】ctu检查让泌尿系结石无处遁形_输尿管_图像_肾盂
图片尺寸979x483
竟然是……_患者_医生_膀胱
图片尺寸1080x810
典型ct.jpg
图片尺寸942x776
ct检查显示,患者膀胱前壁有一个鸡蛋大小肿块.医院 供图
图片尺寸1389x969
这是神经源性膀胱吗?04
图片尺寸2160x2880
论坛>影像核医学>帖子详情>好发部位位于膀胱三角区及膀胱颈部,ct
图片尺寸561x541
腺性膀胱炎与膀胱尿路上皮癌丨ct鉴别诊断科室交流学习资料内容由研究
图片尺寸960x720
膀胱肿瘤主要特点:1.好发于年龄:40岁以上男性.
图片尺寸1068x788