正常锁骨片子

闭合复位髓内固定治疗锁骨骨折
图片尺寸1508x948
14岁男孩的锁骨骨折,保守10天后移位,继续保守还是手术呢?
图片尺寸2322x4128
儿童锁骨骨折手术治疗(大于12岁)
图片尺寸1600x786
左锁骨骨折的治疗
图片尺寸2221x1080
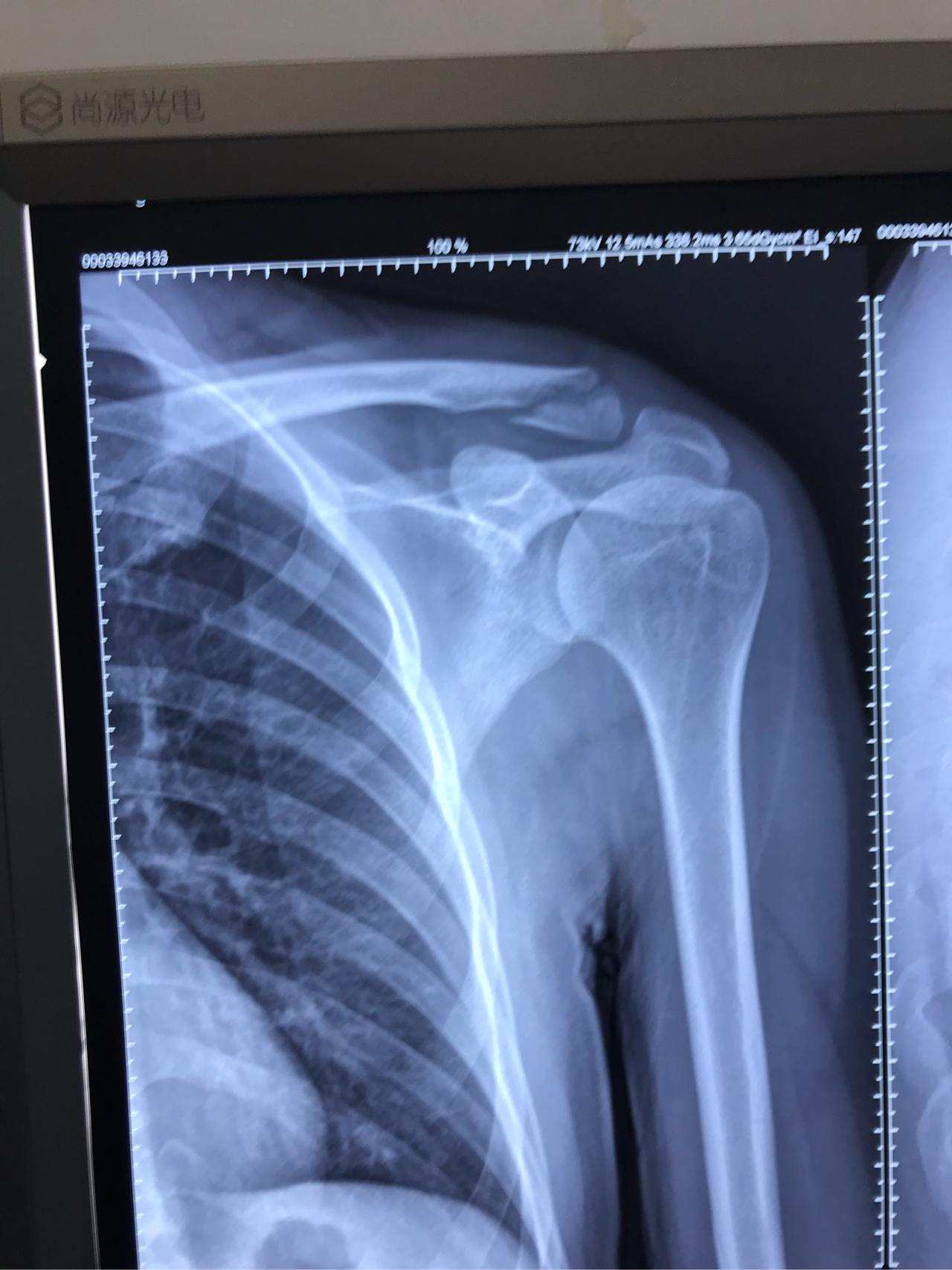
右锁骨中段骨折
图片尺寸2338x1772
锁骨x光片
图片尺寸1100x1190
锁骨骨折x线片,正位片.
图片尺寸1077x1200
患者双侧锁骨摄片
图片尺寸2448x3264
锁骨远端骨折片子如图求给意见欢迎讨论
图片尺寸1280x1707
运用mippo技术小切口微创治疗锁骨中段骨折
图片尺寸1199x1199
儿童锁骨骨折保守治疗12岁以下
图片尺寸2475x1250
儿童锁骨骨折手术治疗(大于12岁)
图片尺寸2021x926
写美篇 锁骨远端损伤的关节镜治疗 广西骨伤医院关节运动损伤科
图片尺寸2818x1958
锁骨骨折
图片尺寸694x565
dr片显示:左锁骨远端骨折
图片尺寸2752x2752
少儿锁骨骨折内固定手术一例
图片尺寸2716x2195
锁骨骨折及肩锁脱位的术后康复
图片尺寸1600x1278
丁香园论坛
图片尺寸4000x2248
锁骨远端骨折
图片尺寸2667x2000
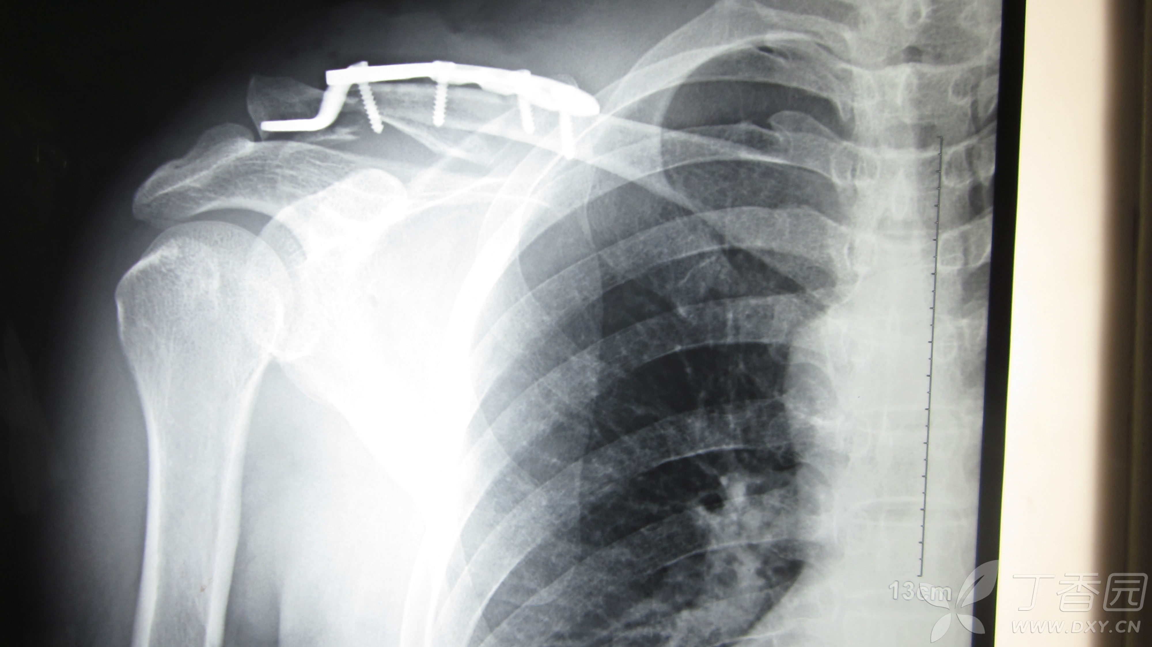
左锁骨肩峰端骨折
图片尺寸680x412