正畸前后对比照片高清

专业正畸医生警告:小心得不偿失!
图片尺寸400x400
正畸前后对比 矫正是一个漫长的过程 值得等待,微笑才是最好 - 抖音
图片尺寸1440x1920
牙齿矫正 这是我的矫正对比图,矫正和不矫正的区别不止一点点 - 抖音
图片尺寸1440x1898
正规牙科医院都是正畸实力派!
图片尺寸400x400
矫正前后口内像对比
图片尺寸1200x800
盘点邢台整牙,正畸好的牙科医院
图片尺寸400x400
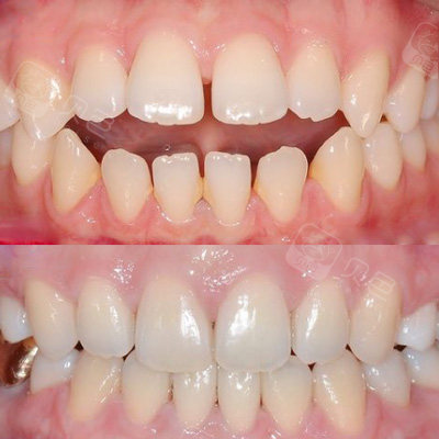
矫正前后口内像对比
图片尺寸1233x2351
矫正前后口内像对比
图片尺寸1705x876
恭喜小姐姐的正畸之旅画上完美句号95
图片尺寸690x710
郑州唯美口腔正畸前后对比照片
图片尺寸400x400
正畸还有难度费吗?只听说过方案收费不知道牙套还有难度费!
图片尺寸400x338
牙列不齐矫正前后对比照片
图片尺寸400x206
郑州市儿童牙科医院收费标准公布孩子牙齿疼要及时去就诊
图片尺寸500x600
一年半矫正,"腼腆小姑娘"变身"元气少女"!
图片尺寸999x1411
矫正前后口内像对比
图片尺寸1000x1975
骨性正畸前后对比图~整牙堪比整容~ 第一张是正畸整整两年的时间
图片尺寸1280x1280
5种牙齿畸形症状的牙齿矫正前后对比案例分析,论选对医生的重要性!
图片尺寸1080x1439
矫正前后面像对比
图片尺寸1016x934
牙齿瓷贴面前后对比
图片尺寸1080x1080
牙齿矫正前后对比效果图
图片尺寸1280x960