正畸口内照片

安徽省口腔正畸群讨论病例汇报
图片尺寸1800x1200
口腔医生须知资料收集正畸患者摄影资料的采集
图片尺寸1080x720
骨性双颌前突伴露龈微笑的单纯正畸治疗
图片尺寸1600x1198
旗人民医院口腔科牙齿矫正进行中
图片尺寸2667x2000
小郭医生术前口内照病例#正畸 - 抖音
图片尺寸1920x1286
暨大穗华口腔正畸才俊谢晓聪:精益求精的技术永远是每一位医生的追求
图片尺寸640x422
矫正前后口内像对比
图片尺寸1242x2066
矫正前后口内像对比
图片尺寸1241x1196
西安牙齿矫正张军主任正畸案例集:牙齿拥挤,前突的隐适美隐形矫正案例
图片尺寸1400x350
矫正前后口内像对比
图片尺寸805x1599
口内正面照片,帮助医生判断前面牙齿的错位情况以及咬合关系
图片尺寸1600x1066
矫正前后口内像对比
图片尺寸799x1600
正畸临床病例(八)—"横向先行"扩弓的方法与技巧 - 口腔专业讨论版
图片尺寸2260x1366
矫正前后口内像对比
图片尺寸1000x1975
此为配戴可撤式矫正器口内图片
图片尺寸684x513
矫正前后口内像对比
图片尺寸1242x1978
矫正前后口内像对比
图片尺寸1000x1524
福州正畸骨性前突牙齿不齐隐适美矫正案例附动画分享
图片尺寸1242x828
矫正前后口内像对比
图片尺寸923x1562
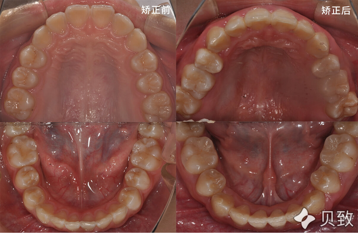
矫正前后口内像对比
图片尺寸1206x786