正畸对比

部分牙齿矫正前后对比图,暑期矫正最佳时机.#正畸 #牙齿矫正 - 抖音
图片尺寸1440x1920
正畸前后对比
图片尺寸1440x1920
正畸还有难度费吗?只听说过方案收费不知道牙套还有难度费!-医秀网
图片尺寸400x338
郑州拜博牙齿种植及正畸案例效果图
图片尺寸586x317
专业正畸医生警告:小心得不偿失!
图片尺寸400x400
郑州唯美口腔正畸前后对比照片
图片尺寸400x400
病例分享lorthguide03奥世美03数字正畸导航系统
图片尺寸949x385
县一院口腔科已成功开展青少年及成人正畸治疗
图片尺寸1200x1598
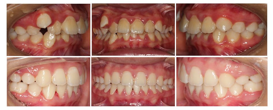
正畸前中口内照对比
图片尺寸1400x849
正规牙科医院都是正畸实力派!
图片尺寸400x400
开颌女生正畸正颌颜值健康两不误
图片尺寸1200x1257
正畸专科医生这样说!
图片尺寸500x669
正畸正颌联合矫治案例
图片尺寸760x918
单纯通过正畸改善骨性地包天案例
图片尺寸978x464
正畸治疗能缩短疗程吗?
图片尺寸1600x1600
牙齿-侧口内对比.jpg
图片尺寸1134x1179
牙齿矫正选对牙医很重要,送你一份深圳口碑正畸医生名单
图片尺寸500x230
正畸治疗前后面型照对比
图片尺寸1301x1080
7月14日韩国著名口腔正畸专家李度勋坐诊穗华
图片尺寸2675x2807
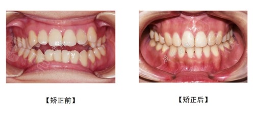
牙齿正畸前后对比
图片尺寸690x690