正畸骨钉图片

同样用于牙齿正畸,骨钉和附件有什么区别?
图片尺寸1440x960
北京牙齿矫正丨正畸治疗中为什么需要使用支抗钉骨钉
图片尺寸720x720
成都瑞泰口腔正畸专家井芳副主任医师介绍到,骨钉又叫支抗钉,在学术上
图片尺寸961x499
参考金额100元口腔项目口腔正畸恢复时间720天个别比较"幸运"的牙友在
图片尺寸500x500
牙齿矫正正畸医生为什么要在你的嘴里打骨钉
图片尺寸568x490
关于正畸种植钉,你想知道的都在这里
图片尺寸1400x933
正畸骨钉(支抗钉)_整牙_正畸_发炎_牙刷_熬夜_日常护理_美妆_医美整形
图片尺寸1080x809
不过,对于一些重度的露龈笑情况,通过正畸还是不能完全解决的,可能
图片尺寸600x375
牙齿矫正打骨钉会不会很痛?哪些人需要打骨钉?
图片尺寸500x333
正畸骨钉不可怕矫正利器就是它
图片尺寸644x429
麦芽口腔正畸中心牙齿矫正正规吗?
图片尺寸500x314
骨钉打在哪个位置?戴牙套打疼吗?支抗钉取出后有洞吗
图片尺寸500x382
正畸骨钉(支抗钉)
图片尺寸1061x607
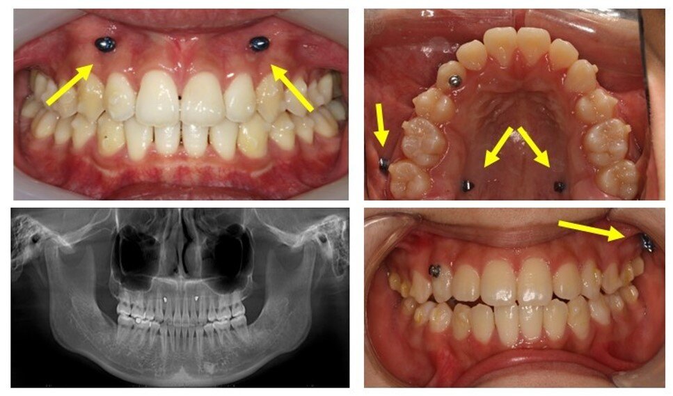
正畸支抗钉,又叫骨钉,是由生物相容性高的.
图片尺寸690x516
骨钉是否需要打是随意打还是是医生说了算
图片尺寸638x395
正畸日记|打骨钉全程记录,痛但有效,去做吧
图片尺寸1080x1440
骨钉与正畸_正畸_正畸治疗方式 - 好大夫在线
图片尺寸967x569
矫正牙齿打骨钉_骨钉_牙齿矫正_护士_上海攻略_牙套
图片尺寸1080x1439
矫正牙齿骨钉 这啥我也不知道_骨钉_牙周炎_赛德
图片尺寸1080x1297
为什么正畸医师要让你打支抗钉戴牙套打骨钉痛吗
图片尺寸570x760