正颌手术动图

做正颌手术这个决定并不容易下
图片尺寸374x292
骨性ii类牙颌面畸形的正畸正颌联合治疗_牙颌畸形_牙颌畸形治疗方式
图片尺寸1518x910
重庆松山医院肖林正颌手术怎么样.gif
图片尺寸680x380
骨性ii类牙颌面畸形的正畸正颌联合治疗_牙颌畸形_牙颌畸形治疗方式
图片尺寸1518x910
骨性ii类牙颌面畸形的正畸正颌联合治疗_牙颌畸形_牙颌畸形治疗方式
图片尺寸1506x906
正颌手术为了改善她下半张脸的问题嘴巴看起来包不住牙齿并且疑似有
图片尺寸486x299
第三步,术后正畸:术后早期牵引稳定颌骨位置,进一步精细调整咬合关系.
图片尺寸720x431
为什么整牙的时候正颌和正畸手术经常一起做
图片尺寸535x303
再对牙齿进行后移,下巴前移的手术方式……"广大口腔精准正颌中心的
图片尺寸440x248
骨性ii类牙颌面畸形的正畸正颌联合治疗_牙颌畸形_牙颌畸形治疗方式
图片尺寸1518x911
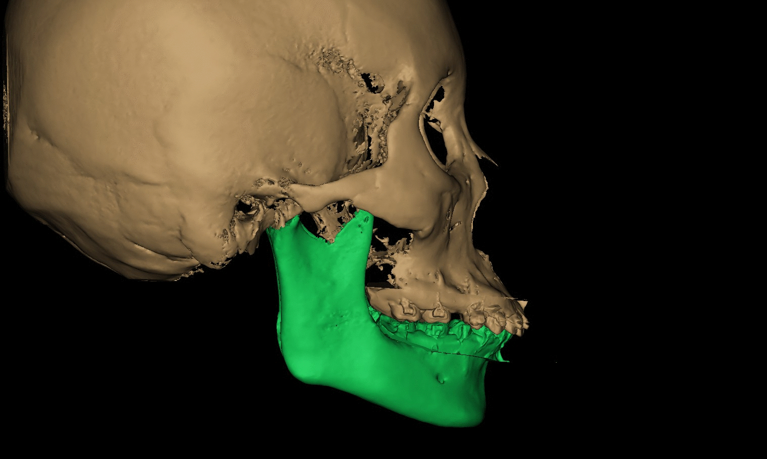
分割重建推动外科手术进入3d可视化时代
图片尺寸448x288
脸型|颌面|正颌|颧弓_网易订阅
图片尺寸640x316
上颌宽度不足,掩饰性正畸后改行正颌手术的骨性iii类病例
图片尺寸1518x910
骨性iii类牙颌面畸形(地包天)的正畸正颌联合治疗_牙颌畸形_牙颌畸形
图片尺寸1518x910
双侧下颌支矢状劈开前徙和/或颏成形骨性ii类牙颌面畸形正颌手术一般
图片尺寸541x540
500_372gif 动态图 动图
图片尺寸500x372
需要进一步检查是做矫正还是正颌手术;轻微的骨性可以
图片尺寸640x331
颌联合治疗制定完善的颌骨矫正方案治疗分三个部分术前正畸,正颌手术
图片尺寸250x200
390_210gif 动态图 动图
图片尺寸390x210
大科普:让人又爱又怕的正颌手术
图片尺寸500x235