歧腔吸虫

第3节 歧腔吸虫病.ppt
图片尺寸1152x864
支岐腔吸虫
图片尺寸600x600
头动物,线性动物和医学节肢动物五大类,包括蛔虫,绦虫,蛲虫,钩虫,吸虫
图片尺寸629x470
种类:涡虫,血吸虫,绦虫,华 枝睾吸虫
图片尺寸1080x810
007扁形动物辩析.ppt
图片尺寸960x720
肝脏穿孔,广东男童胃里满是寄生虫液!只因父母喂了它
图片尺寸900x531
日本血吸虫 华枝睾吸虫 猪带绦虫
图片尺寸1080x810
第二课时 扁形动物,第一节 腔肠动物和扁形动物,猪肉绦虫,华枝睾吸虫
图片尺寸800x600
16.扁弯口吸虫
图片尺寸569x917
第六章扁形动物门浅析.ppt
图片尺寸960x720
五, 歧腔科吸虫病 (一)歧腔吸虫病(甲) 歧腔吸虫病是由歧腔科(dicro
图片尺寸1080x810
日本血吸虫如何感染人类?,,3,3,3,2,,1,,,,,眼点
图片尺寸800x600
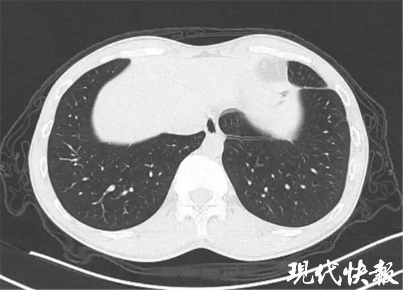
医生反复诊断,发现竟是……_肺吸虫
图片尺寸800x576
中华分支睾吸虫 (其他生物相关)
图片尺寸398x472
代表动物:华支睾吸虫 特征:身体呈两侧对称;背腹扁平;有口无肛门.
图片尺寸426x279
前殖吸虫病
图片尺寸820x632
吸虫的种类这么多,这次涨见识了!
图片尺寸800x600
肝内寄生虫,如肝吸虫;腔道内寄生虫,如阴道毛滴虫;消化道内寄生虫,如
图片尺寸280x280
华支睾吸虫,绦虫,钩虫,血吸虫,蛔虫,蛲虫都是寄生虫.
图片尺寸630x210
犹疑棘隙吸虫
图片尺寸161x194