母细胞血管瘤

haodf:8:xueguanwangzhuangxibaoliu-->血管母细胞瘤 !
图片尺寸1079x1164
血管瘤
图片尺寸480x640
2,单发血管母细胞瘤患者在接触或受凉时 会 感到疼痛.
图片尺寸640x943
血管瘤的发病过程及治疗选择
图片尺寸1600x1524
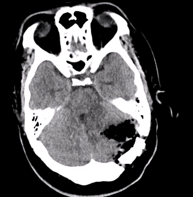
靠近小脑和脑干,紧贴延髓的巨大血管母细胞瘤
图片尺寸552x368
妈妈们必须要了解的血管瘤症状
图片尺寸602x613
身上长了血管瘤会有怎样的症状
图片尺寸450x300
婴儿血管瘤_血管瘤_疾病介绍_治疗方法_介绍_治疗方式 - 好大夫在线
图片尺寸400x300
(4)扩散多个血管母细胞瘤:可分布在身体任何部位的 不止一个肿瘤是
图片尺寸640x480
血管瘤
图片尺寸300x225
血管瘤
图片尺寸640x480
婴幼儿皮肤血管瘤诊断和治疗选择
图片尺寸844x292
小脑血管母细胞瘤
图片尺寸640x650
其它胚胎特性细胞中,其中一部分分化成为血管样组织并最终形成血管瘤
图片尺寸358x240
(一)病因概述 具体病因尚不清楚,外伤可能是血管母细胞瘤发生的原因
图片尺寸640x469
分布到其他胚胎特性细胞中,其中一部分变成血管样组织,从而形成血管瘤
图片尺寸553x346
儿童血管瘤是来源于血管内皮细胞的先天性良性肿瘤,以血管内皮细胞
图片尺寸792x458
其它胚胎特性细胞中,其中一部分分化成为血管样组织并最终形成血管瘤
图片尺寸1920x1440
haodf:8:xueguanwangzhuangxibaoliu-->血管母细胞瘤 !
图片尺寸1080x1080
这不是胎记!父母的忧心事——婴幼儿血管瘤
图片尺寸1269x874