毛囊干细胞

你的头等大事有着落了干细胞有望周期性再生毛囊
图片尺寸641x418
uk5099处理后的毛囊干细胞(右图)
图片尺寸720x479
毛囊干细胞能促进毛发再生吗
图片尺寸1011x667
毛囊干细胞定植在毛囊隆突部位,具有干细胞的特性,包括多向分化潜能
图片尺寸1024x1200
秃如其来,藏在毛囊干细胞里的秘密
图片尺寸449x280
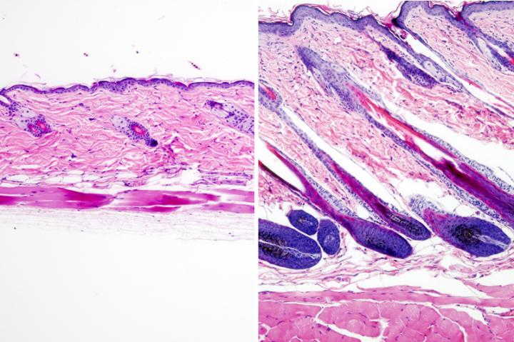
前沿 正文 毛囊是毛发的基本单位,在每个毛囊内都住着一群毛囊干细胞
图片尺寸640x480
而皮肤病理学权威ackerman认为毛囊干细胞在毛球底部,而非远离毛发
图片尺寸642x496
图1:与皮肤修复相关的干细胞包括一线的毛囊间表皮干细胞,二线的皮肤
图片尺寸1920x1442
皮肤干细胞他们在哪里他们可以做些什么
图片尺寸1090x1411
一种毛囊干细胞的原代分离方法与流程
图片尺寸1000x717
科普 ▏毛囊干细胞,拯救"头"等大事!_新北辰集团
图片尺寸1080x638
脱发是因为毛囊干细胞"离家出走"?_头发_头部_研究
图片尺寸536x449
研究人员尝试利用干细胞再生毛囊可经历至少三次毛发生长周期
图片尺寸700x311
vsta毛囊干细胞美容消炎的简单介绍
图片尺寸734x1280
秃头的原因找到了毛囊干细胞没有死亡但是偷偷逃跑了
图片尺寸483x531
毛囊干细胞图片
图片尺寸300x300
由特化的真皮细胞和表皮干细胞之间相互作用转变为毛囊
图片尺寸334x323
干细胞注射对斑秃效果好吗毛囊干细胞与头发再生
图片尺寸793x512
"秃如其来"的希望,干细胞技术让人造皮肤长出毛发!
图片尺寸800x635
头部皮肤有毛囊.显微镜下的发根.照片
图片尺寸400x300