毛母细胞

周洁琼拆下5个假发片,保持头皮健康是美发的关键!
图片尺寸1020x1214
第二步:激活毛母细胞——再生新发章光101产品采取超临界萃取和微囊
图片尺寸640x915
94 淋巴细胞
图片尺寸297x320
《程序员脱发自救指南》笔记--头发基础知识_毛囊母细胞-csdn博客
图片尺寸658x446
把它拔出来,而决定头发颜色的色素,恰恰是由毛囊里的毛母细胞分泌的
图片尺寸600x400
角质化细胞 发茎 头发 毛母 分裂性细胞 无生命 有生命 头发 ph值 4.
图片尺寸1080x810
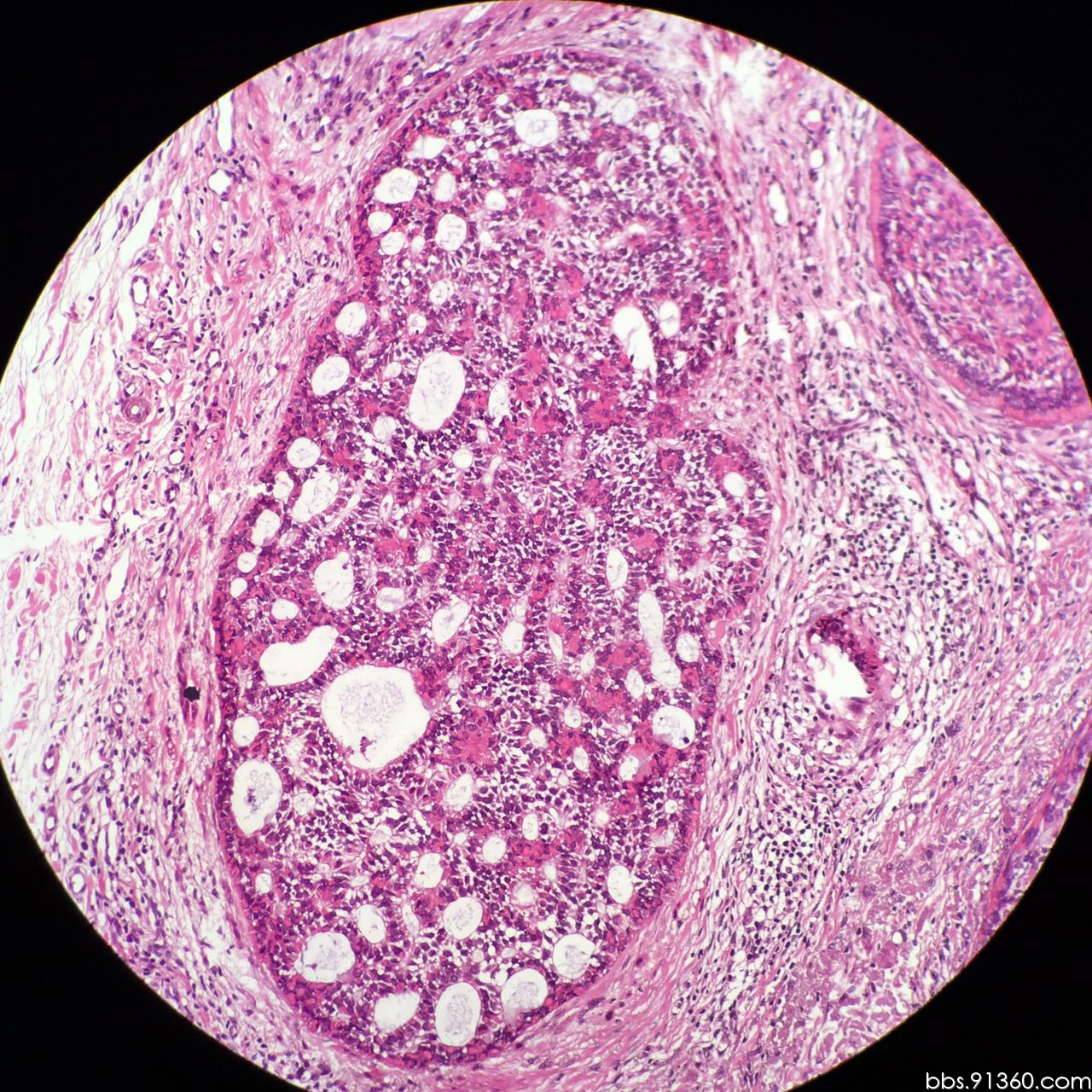
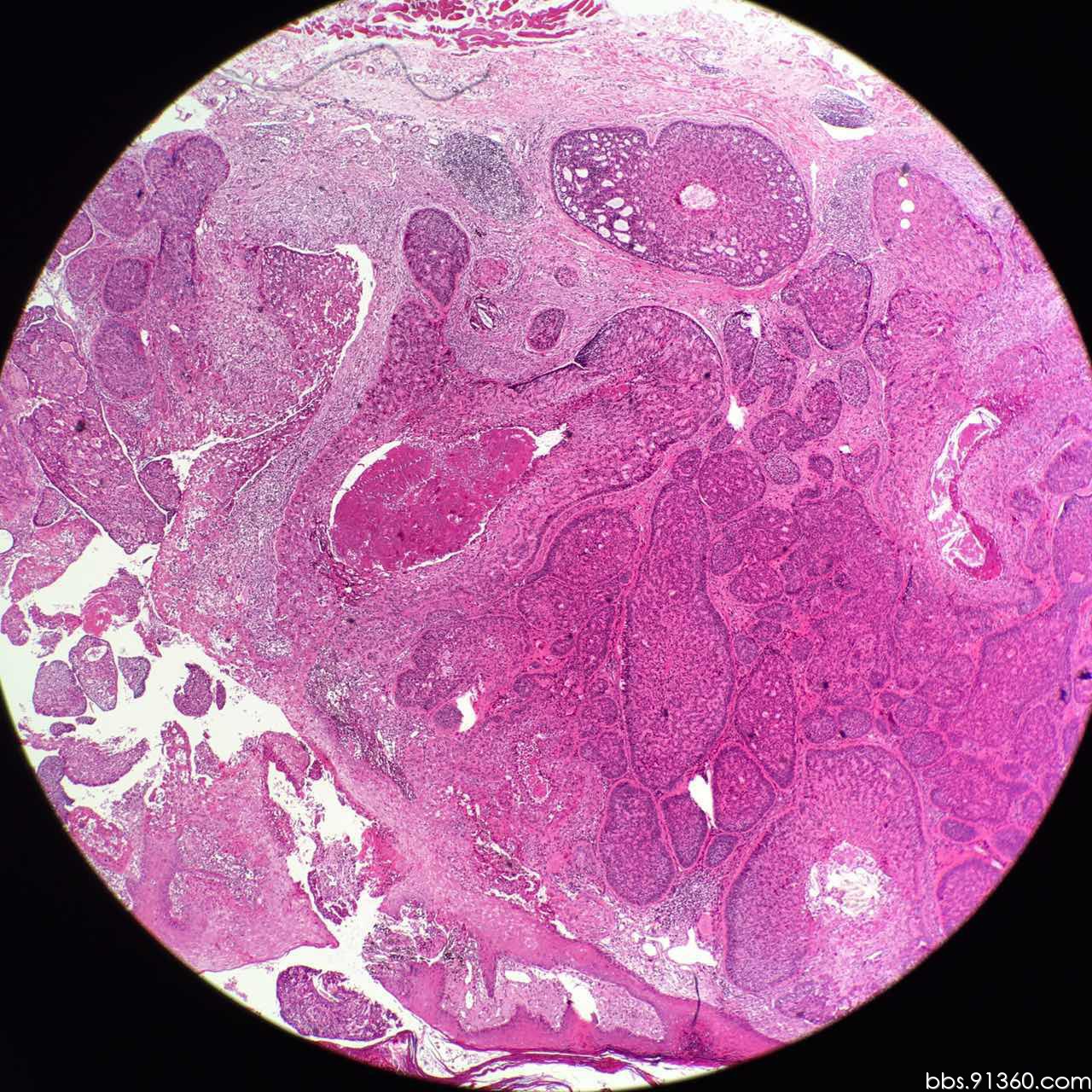
毛母细胞瘤恶变病例2016.05.04【91360皮肤沙龙案例37】
图片尺寸1280x1280
健康知识科普
图片尺寸768x1024
毛母细胞
图片尺寸142x220
毛母细胞瘤恶变病例2016.05.04【91360皮肤沙龙案例37】
图片尺寸1280x1280
以头皮为界限分为两部分:肉眼可见的部分叫毛干,是由死亡的角化细胞
图片尺寸770x848
毛母细胞瘤恶变病例2016.05.04【91360皮肤沙龙案例37】
图片尺寸1280x1280
毛母细胞瘤恶变病例2016.05.04【91360皮肤沙龙案例37】
图片尺寸720x1280
发廊销售宝典 毛发理论技术手册
图片尺寸1337x912
毛母细胞瘤恶变病例2016.05.04【91360皮肤沙龙案例37】
图片尺寸1280x1280
毛母细胞瘤恶变病例2016.05.04【91360皮肤沙龙案例37】
图片尺寸1280x1280
毛母细胞瘤恶变病例2016.05.04【91360皮肤沙龙案例37】
图片尺寸1280x1280
毛母细胞瘤
图片尺寸300x300
们帮看看 诸城妇幼病理王瑞辉 是不是个混合瘤 李秀荣 毛母细胞瘤?
图片尺寸800x600
毛母细胞瘤
图片尺寸300x300