毛霉菌病理

毛霉目
图片尺寸1080x2287
毛霉目
图片尺寸2000x2667
毛霉目
图片尺寸1080x2287
注意,注意,毛霉菌!
图片尺寸640x1138
毛霉菌病理图像
图片尺寸600x337
诊断皮肤毛霉菌病可靠新工具:组织印片技术
图片尺寸640x480
真菌形色covid19相关的毛霉病及实验室检测
图片尺寸1303x830
毛霉菌病离你有多远
图片尺寸1200x797
毛霉目
图片尺寸2000x2667
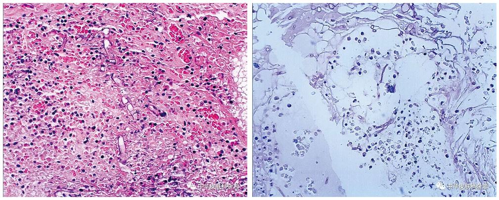
支气管镜活检组织病理显示组织炎性坏死,其内见无隔菌丝,菌丝粗大
图片尺寸1080x380
8.png
图片尺寸617x465
诊断皮肤毛霉菌病可靠新工具:组织印片技术
图片尺寸640x476
海口四中生物特色实验室迎校庆系列活动之微观世界摄影展
图片尺寸668x927
皮损组织病理
图片尺寸1009x405
图2病理显示坏死组织内大量毛霉菌菌丝,并可见菌丝侵袭血管(gms染色及
图片尺寸462x314
毛霉病病因症状诊断治疗参考
图片尺寸1000x679
临床病理联盟-亚专科 74 微信汇
图片尺寸640x482
曲霉菌or毛霉菌 - 临床病理讨论版 - 爱爱医医学论坛
图片尺寸504x331
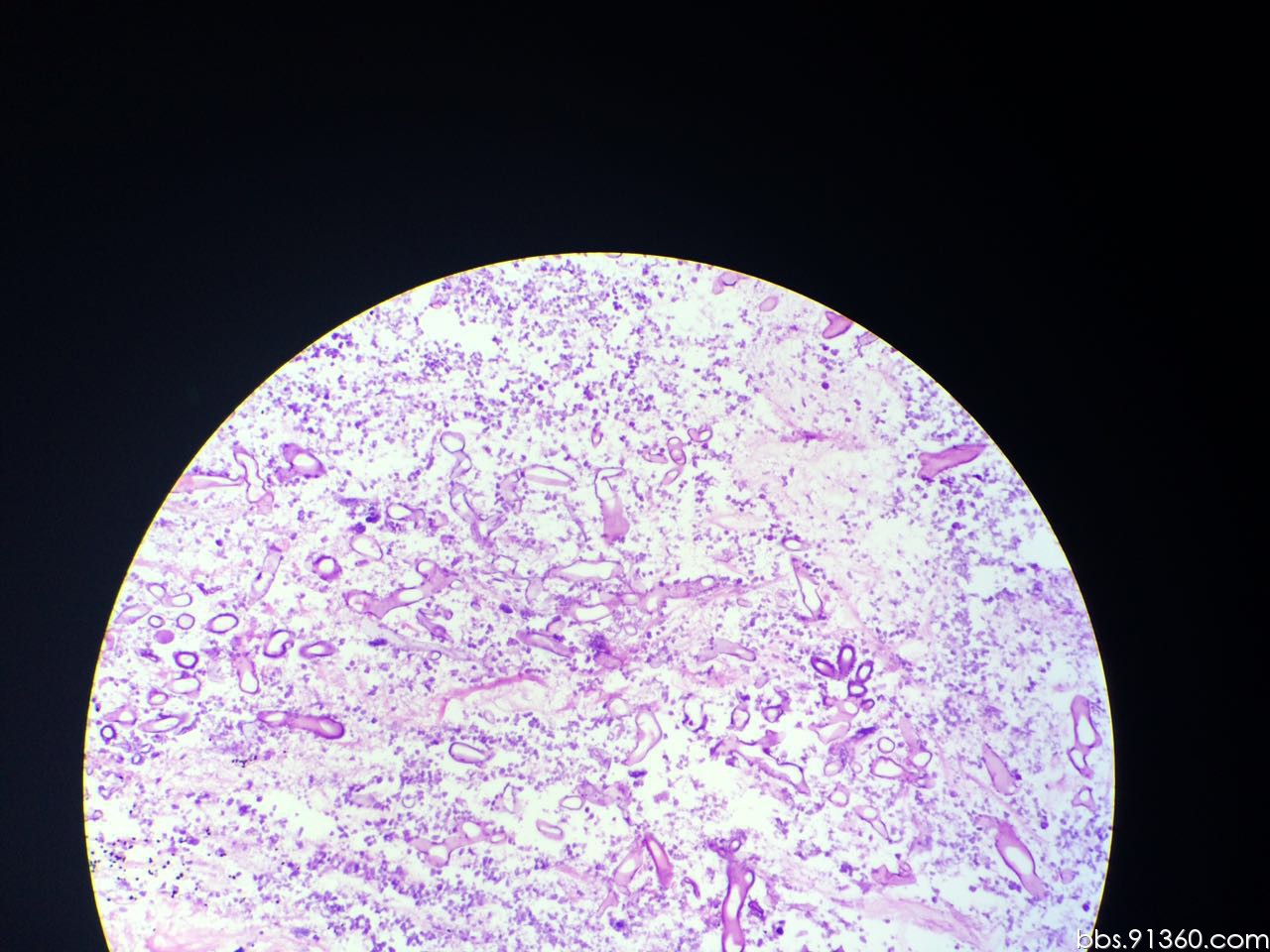
21【91360呼吸沙龙案例14】 - 呼吸系统 - 91360病理论坛
图片尺寸1280x960
番茄大毛霉腐烂病
图片尺寸1072x972