气液平面ct图片

【影像表现】:ct平扫横断面肺窗示左侧脏层胸膜线和气液平面(↑).
图片尺寸500x333
出现气液平面一定是肠梗阻吗?
图片尺寸688x724
肺部感染可能出现的ct征象,你见过几个?(上)_支气管
图片尺寸256x295
左侧胸腔巨大的气液平面
图片尺寸640x640
患儿5岁发热干咳初始治疗好转后突然再次加重│病例新编
图片尺寸512x311
癌性空洞伴气液平面
图片尺寸512x512
在当地医院就诊,行胸部ct提示:左下肺可见薄壁空洞,并可见气液平,左侧
图片尺寸640x480
癌性空洞伴气液平面
图片尺寸512x512
图2.可见扩张的肠腔内明显气液平,存在肠梗阻
图片尺寸627x542
【影像读片】学员发现心脏区气液平面,乍听让人吃惊好奇,2009.12.
图片尺寸640x640
入院后查肺 ct 示:右肺上叶可见多个类圆形厚壁空洞影,内见气体,最大
图片尺寸640x475
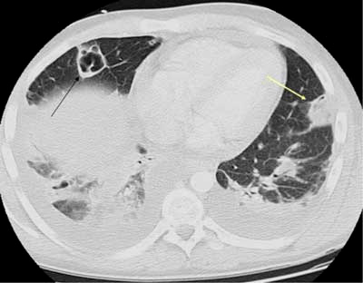
车祸伤一小时,右肺中叶及下叶气液平面形成,可以诊断肺撕裂伤么?
图片尺寸2448x3264
气囊肿|腹膜炎|胃肠道|急诊|影像|症状|-健康界
图片尺寸349x290
胸部ct:心包积水积液.胸片:心脏扩大伴气液平.
图片尺寸469x304
胸部ct:心包积水积液.胸片:心脏扩大伴气液平.
图片尺寸467x288
腹部增强ct扫描显示十二指肠,空肠及邻近小肠可见多处气液平面.
图片尺寸587x620
腹部增强ct扫描显示胃显著扩张,多发小肠袢扩张伴气液平,回肠壁积气
图片尺寸825x363
空洞气液平居然裂开了病因居然是
图片尺寸583x481
空洞气液平居然裂开了病因居然是
图片尺寸581x466
主任问ct显示空洞可能是哪些疾病你怎么回答
图片尺寸400x312