气管软化

皱眉征气管软化症
图片尺寸595x292
广州妇儿中心成功为3月龄"气管软化"宝宝实施胸腔镜下主动脉弓悬吊术
图片尺寸512x466
广州妇儿中心成功为3月龄"气管软化"宝宝实施胸腔镜下主动脉弓悬吊术
图片尺寸506x460
广州妇儿中心成功为3月龄"气管软化"宝宝实施胸腔镜下主动脉弓悬吊术
图片尺寸640x553
气管"塌方",ta与死神赛跑
图片尺寸600x321
克旗医院成功救治一位76岁气管软化塌陷的病人
图片尺寸1200x1600
深圳新生儿一哭闹就窒息,医生检查后发现:重度气管软化!
图片尺寸1000x690
支气管软化症_扫描
图片尺寸451x330
气管软化试验与气管软化症ppt
图片尺寸800x600
珠江视界 | 曹晖教授:气管切除与重建的麻醉管理
图片尺寸801x541
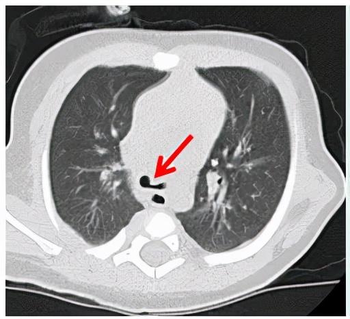
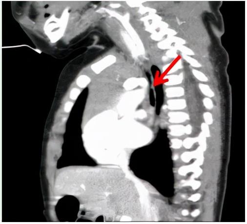
胸部影像诊断图例丨刀鞘样气管,气管狭窄,气管支气管软化症
图片尺寸595x292
广州妇儿中心成功为3月龄"气管软化"宝宝实施胸腔镜下主动脉弓悬吊术
图片尺寸530x322
哮喘,全称为支气管哮喘.
图片尺寸660x432
依据4-6级支气管软化伴随扩张,系4-6级软骨缺失所致.
图片尺寸1280x956
胸部影像诊断图例丨刀鞘样气管,气管狭窄,气管支气管软化症
图片尺寸595x297
气管软化症的影像诊断
图片尺寸835x392
克旗医院成功救治一位76岁气管软化塌陷的病人
图片尺寸1200x1600
部分患者存在肺功能异常.再手术率:8%,原因:残留瘢痕,气管支气管软化.
图片尺寸651x620
必会系列 | 儿童气道基础知识你了解多少?
图片尺寸485x898
慢性支气管炎中药系统性调治
图片尺寸1242x651