气颅

少见气颅一例
图片尺寸3264x2448
脑外伤导致的气颅
图片尺寸1920x1080
少见气颅一例
图片尺寸3264x2448
jama n:张力性颅内积气
图片尺寸456x456
1例迟发性外伤后张力性气颅病例报告
图片尺寸548x680
这个气颅该怎样处理?
图片尺寸1024x768
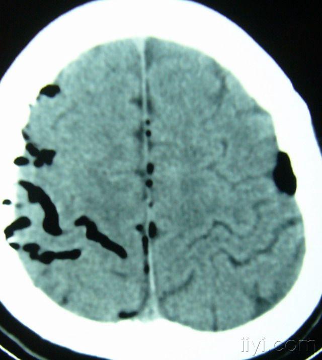
少见的颅内积气
图片尺寸640x716
脑子"进气"了,祸首是"石头"!如此头痛原来是患有罕见的气颅
图片尺寸600x440
【求助】是气颅吗
图片尺寸1600x1200
先天乳突发育不良致颅内积气1例报告及文献复习
图片尺寸700x753
脑室腹腔分流术后迟发颅内积气:什么原因?如何处理?
图片尺寸640x687
术后复查颅内积气减少
图片尺寸546x610
生气真能气出病核磁共振刚刚证实
图片尺寸960x720
道是无形却有形于无形处成万形气颅精准治疗一例
图片尺寸852x397
道是无形却有形于无形处成万形气颅精准治疗一例
图片尺寸946x484
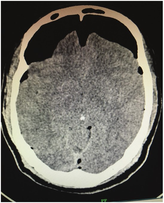
广泛气颅,颅底骨折 3.急症行
图片尺寸512x512
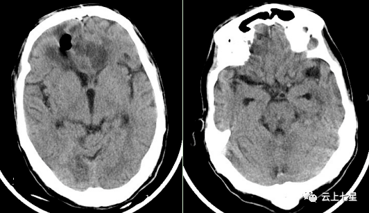
术后头颅ct,显示右侧巨大气颅基本吸收,左侧脑出血已清除据了解该
图片尺寸532x308
位 ct;c,cta 检查未见血管损伤;d,筷子经口腔穿入,气管起开性气管插管
图片尺寸554x453
外伤--颅骨骨折并气颅 - 金叶子 - 耶子 河池市人民医院医学影像休闲
图片尺寸480x480
右侧视神经损伤右侧额颞骨折硬膜外血肿蛛血气颅
图片尺寸680x332