氟斑牙遗传吗

使用含氟牙膏会形成氟斑牙吗?
图片尺寸331x220
四环素牙,氟斑牙,遗传性黄齿,染色牙 冷光美白效果
图片尺寸635x443
氟斑牙要怎样治疗这4种方法很重要
图片尺寸1200x801
氟斑牙会遗传吗?
图片尺寸380x221
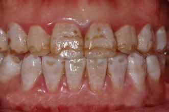
氟斑牙就是慢性氟中毒在牙齿上的一种表现,通常是在7岁之前儿童牙釉质
图片尺寸640x334
儿童氟斑牙
图片尺寸600x401
氟斑牙怎么美白瓷贴面和冷光美白哪个好价格上更有优势
图片尺寸635x599
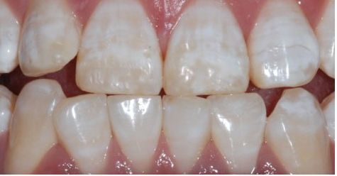
氟斑牙患病的主要症状是什么?
图片尺寸400x211
常熟氟斑牙可以洗白吗
图片尺寸1600x1200
氟斑牙怎么去除氟斑牙不治疗会越来越严重吗
图片尺寸738x438
氟斑牙知多少
图片尺寸475x248
患者曾住高氟区,检查后得知,患者全口氟斑牙,部分牙体缺损,有少量牙
图片尺寸1884x1876
99 说说氟斑牙
图片尺寸429x329
氟斑牙的形成原因
图片尺寸396x257
您该怎么办?_氟斑牙_疾病介绍_治疗方法_介绍_治疗方式 - 好大夫在线
图片尺寸629x175
氟斑牙
图片尺寸500x351
氟斑牙71下巴长痘71这些人要慎用含氟牙膏!
图片尺寸1080x1440
1,轻中度的四环素牙,氟斑牙,或者其它因素引起的变色牙,遗传性黄齿
图片尺寸607x419
氟斑牙做冷光美白可以消除吗?还是说必须做贴面?
图片尺寸399x370
氟斑牙是什么病儿童氟斑牙应该怎么治疗图
图片尺寸605x375