法布里综合症

法布里病的疾病治疗
图片尺寸800x756
男童不明原因四肢末端剧烈灼痛,三年后确诊罕见病法布里病_治疗_患者
图片尺寸972x864
它似乎还与几种遗传性疾病有关,包括加德纳综合征,法布里病,颅裂发育
图片尺寸684x450
法布里病中的血管角质瘤
图片尺寸1004x664
一图带你认识罕见病之法布雷病
图片尺寸1080x3475
关注一种可筛可治的罕见病法布里病
图片尺寸1080x706
综合体育 功夫频道|武术|散打 ufc终极格斗冠军赛 ufc动态1/5 温盾
图片尺寸550x764
美国"华人母亲",正在批量制造谷爱凌
图片尺寸527x612
罕见病溶酶体贮积症mdt模式将在天津市儿童医院建立
图片尺寸1080x830
血管角质瘤综合征(angiokeratoma corporis diffusum)或安德森-法布里
图片尺寸660x964
瓷娃娃,又称成骨不全症,脆骨症等,它是一种罕见病.
图片尺寸476x851
东南亚头号种子的上位之路|one冠军赛|佐藤|综合格斗|法布里西奥
图片尺寸600x338
综合体育 功夫频道|武术|散打 ufc终极格斗冠军赛 ufc动态5/5 面部挂
图片尺寸550x367
恶性胸膜间皮瘤,神经母细胞瘤,黏多糖贮积症,骨巨细胞瘤,法布里(雷)病
图片尺寸812x633
法布里西奥·温顿
图片尺寸1200x800
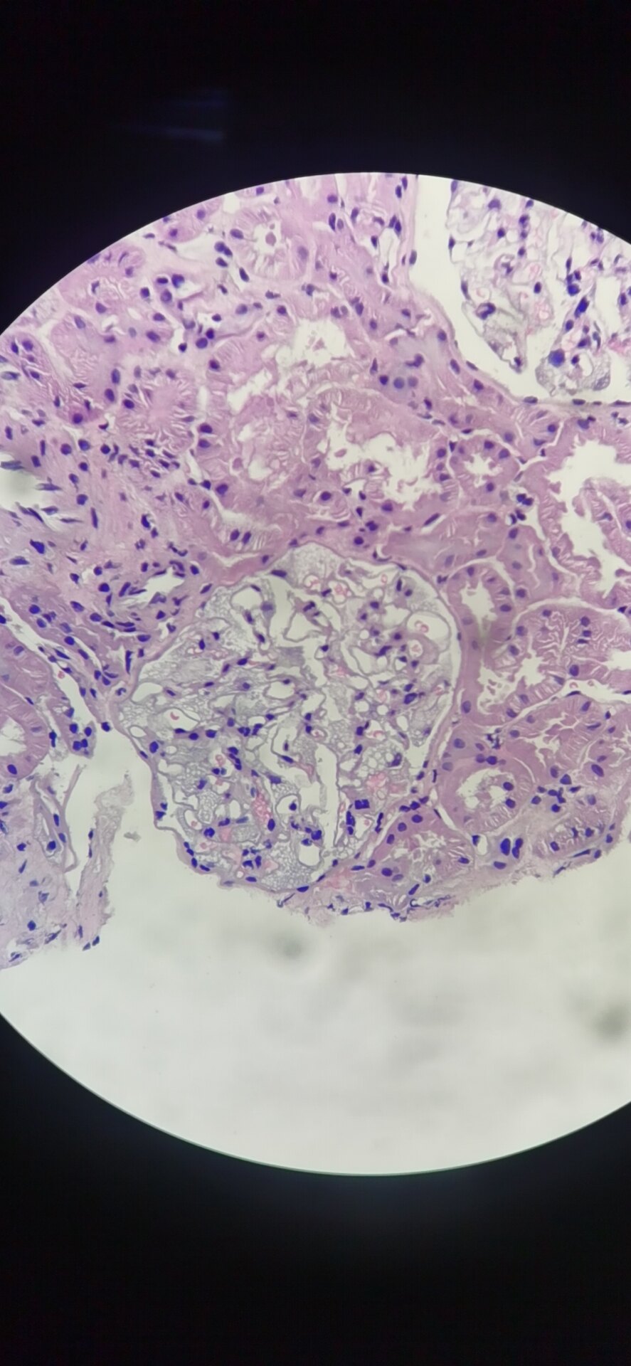
一例罕见的肾穿刺活检病例—怀疑法布里综合征fabrydisease - 好大夫
图片尺寸887x1920
法布里西奥·温顿
图片尺寸1280x720
大型义诊就在明天!
图片尺寸1080x1269
一例罕见的肾穿刺活检病例—怀疑法布里综合征fabrydisease - 好大夫
图片尺寸887x1920
达内/吕克·达内主演:玛丽昂·歌迪亚/法布里齐奥·罗吉恩上映日期
图片尺寸600x397