法氏囊

新思维养殖:图文详解鸡法氏囊的临床和防治措施
图片尺寸571x420
(原创)法氏囊
图片尺寸1280x960
法氏囊的介绍
图片尺寸3264x2448
鸡传染性法氏囊危害有多大?集美禽业教你如何治疗
图片尺寸698x532
(原创)法氏囊
图片尺寸1280x960
法氏囊病毒
图片尺寸968x813
蛋鸡的传染性法氏囊病
图片尺寸640x480
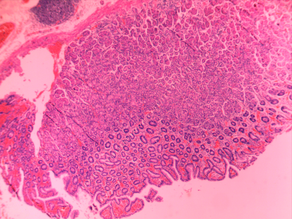
河南卓普教学用品生物玻片法氏囊病 急性卡他性动物组织病理切片
图片尺寸1024x768
求助老师法氏囊比较大急急
图片尺寸980x1308
传染性法氏囊炎 病鸡法氏囊轻微肿胀,表面有凝胶样物,外观较亮
图片尺寸688x425
肉鸡传染性法氏囊病的防治 – 知禽网
图片尺寸427x354
典型法氏囊图片(疫苗诱发?
图片尺寸1536x1152
有图法氏囊求助
图片尺寸2560x1920
家禽传染性法氏囊病的综合防治
图片尺寸449x517
法氏囊
图片尺寸762x516
资讯中心
图片尺寸700x412
病毒类家禽疾病如何防治鸡传染性法氏囊病
图片尺寸553x320
(原创)法氏囊
图片尺寸1280x960
胸腺法氏囊免疫系统
图片尺寸909x1495
法氏囊的剖检变化
图片尺寸500x316