泡心细胞图片

重磅文章解读超声技术治疗癌症等疾病的进展
图片尺寸578x379
泡沫细胞
图片尺寸1215x810
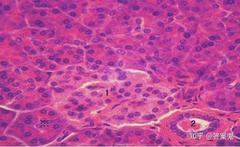
胰腺
图片尺寸860x568
泡状细胞
图片尺寸268x201
常用于胰腺内分泌肿瘤的生物治疗为
图片尺寸890x501
细胞里面有空泡
图片尺寸3968x2976
我做泡沫细胞,将thp1细胞诱导成巨噬细胞.8日实验突然出现污染现象.
图片尺寸1280x960
周围染色深的是浆液性腺泡,大小不等,单层腺细胞围成,腺腔不明显,有些
图片尺寸485x298
细胞里面有空泡
图片尺寸3968x2976
自己收集的好的ppt,请各位欣赏 泡沫细胞( foam cell
图片尺寸1215x810
胞浆量多少不等,呈蓝色或深蓝色,无颗粒,可见空泡;细胞核呈圆形,类
图片尺寸750x750
各类图片较为详细丰富 泡沫细胞(foam cell) 巨噬细胞 平滑肌细胞
图片尺寸1080x810
正常结构已经被多量的巨噬细胞浸润,其中很多泡沫细胞,还可见巨细胞
图片尺寸619x466
第二天细胞形态就发生了很大的变化, 如下图所示,而且细胞中的空泡
图片尺寸1280x960
6,胰腺:浆液性腺泡(泡心 细胞),胰岛
图片尺寸1080x810
部分红细胞中心淡染区扩大,可见靶形,球形,椭圆形,泡红细胞
图片尺寸435x434
谈癌色变揭秘癌症之王胰腺癌
图片尺寸650x490
图 3-4-1 肥大细胞光镜图(高倍) 图 3-4-2 肥大细胞颗粒
图片尺寸2048x1536
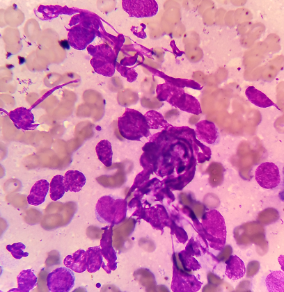
刷检物中的异常细胞
图片尺寸408x420
细胞中突然出现巨大空泡和蜂窝状空泡,向各位求助
图片尺寸1280x720