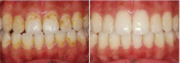
洗牙前后对比照

洗牙前后对比照片
图片尺寸500x437
洗牙前后对比.小马拉不动大车,别给你的牙齿,牙龈增加负担,它 - 抖音
图片尺寸1440x1920
洁牙前后对比
图片尺寸500x500
洗牙前后对比照片_洗牙_商场_樱花季_暖春樱花季_美妆_医美整形
图片尺寸1080x844
洗牙前后对比
图片尺寸400x400
洗牙前后对比
图片尺寸710x710
洁牙前后对比图,看看你的牙齿有多脏!
图片尺寸640x362
牙膏牙刷二合一,还能99.99%抑制口腔细菌的洁牙神器
图片尺寸700x779
洗牙前后对比图
图片尺寸690x620
洗牙前后对比照
图片尺寸544x522
洗牙多少钱_洗牙后注意事项_爱康健齿科在线咨询
图片尺寸674x369
南城雨落的超声波洗牙日记
图片尺寸693x243
洁牙前后对照
图片尺寸797x1063
清洗前后
图片尺寸1100x1195
牙博士洗牙前后效果对比
图片尺寸430x280
洗牙前后对比
图片尺寸500x456
洗牙前后对比
图片尺寸1080x1080
洗牙前后对比
图片尺寸413x484
洗牙前后对比照片
图片尺寸500x500
(烟渍牙美白前后对比图)>>新区正规洗牙医院表,在线了解 洗牙美白
图片尺寸650x300