活动矫正器儿童

儿童早期干预矫正有必要吗?用哪种矫治器?
图片尺寸1067x539
新齿佳正畸活动矫治器
图片尺寸1080x1080
给孩子口腔健康的美好开端
图片尺寸1185x1206
儿童地包天矫治器有哪些?
图片尺寸1080x1443
儿童错颌矫正器,快速调整反颌✨
图片尺寸2560x2530
儿童牙齿矫正是否越早越好
图片尺寸3456x5184
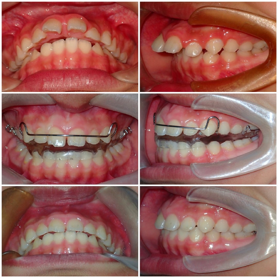
8岁地包天矫正 扩弓➕牵引中.又一烧钱项目启动
图片尺寸1440x1920
儿童矫治器是一种专门用于矫正儿童牙齿和颌面发育问题的设备
图片尺寸989x1263
儿牙早期干预三阶段
图片尺寸1169x779
什么是儿童早期矫正?
图片尺寸1280x1524
儿童早期矫正,越早越好!👶🦷
图片尺寸877x1099
孩子下巴后缩怎么办?矫正器一定要选好!
图片尺寸4104x3036
正畸活动矫治器相关的多种图谱与信息
图片尺寸1080x780
eta儿童早期矫治:小男孩的蜕变之旅
图片尺寸1352x889
戴矫正器的第一天,记录一下,抓住发育期的小尾巴拒绝手术,加油
图片尺寸1440x1920
头帽式肌激动器 妃她正畸 儿童牙齿矫正器 活动矫治器
图片尺寸1920x1080
后续来啦~4岁半反颌矫正
图片尺寸1280x1706
活动矫治器:结构,优缺点及临床应用综述
图片尺寸1134x746
儿童牙齿矫正:全面解析三种矫治器
图片尺寸1230x859
早期矫治对小孩口腔健康有哪些好处
图片尺寸5184x3456