派尔集合淋巴结

派尔集合淋巴结
图片尺寸450x600
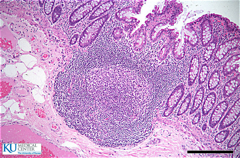
而这个埋伏地叫派尔集合淋巴结,肩负着肠道免疫的重要职责
图片尺寸640x357
派尔集合淋巴结
图片尺寸811x535
肠道各处分布着形似小山丘的器官,这被称为"派尔集合淋巴结",简称"
图片尺寸603x391
派尔集合淋巴结
图片尺寸220x145
这些淋巴组织表面覆有上皮细胞,无结缔组织被膜支气管相关淋巴组织
图片尺寸764x547
散布于肠道粘膜上皮细胞间,负责将抗原由肠腔转运至上皮下的淋巴细胞
图片尺寸600x601
cell子刊:s100a4蛋白促进派尔集合淋巴结. 来自热心肠先生 - 微博
图片尺寸640x639
肠相关淋巴组织主要包括派尔氏集合淋巴结和肠系膜淋巴结.
图片尺寸640x279
这些淋巴组织表面覆有上皮细胞,无结缔组织被膜支气管相关淋巴组织
图片尺寸927x389
粘膜集合淋巴组织大多单个分散于呼吸道,消化道和生殖道,在结肠和
图片尺寸1080x810
balt)主要分布于各肺叶的支气管上皮下,其结构与派氏集合淋巴结相似
图片尺寸1047x606
生发中心的器官化的淋巴组织,如扁桃体,小肠的派尔集合淋巴结及阑尾
图片尺寸835x541
如何看待手术后病理报告中的淋巴结?
图片尺寸1668x1260
益生菌如何增强人体抵抗力?
图片尺寸1080x894
肠相关淋巴组织主要包括派尔氏集合淋巴结和肠系膜淋巴结.
图片尺寸640x457
本期内容中我们继续探索另外两种二级淋巴器官-派尔结(peyers
图片尺寸1080x715
上一期推送中我们为大家介绍了两种重要的二级淋巴器官-派尔结(peyer
图片尺寸435x500
肝病与肠肝轴系列之二
图片尺寸600x515
全球首个iga肾炎靶向药获批上市,将成为一张底牌
图片尺寸900x596