海马区位置

海马效应究竟有多诡异?你是否经历过"梦里"的事情?似曾相识
图片尺寸1100x676
人人都有两只小海马,美好记忆全靠它
图片尺寸514x384
海马的三维位置
图片尺寸300x300
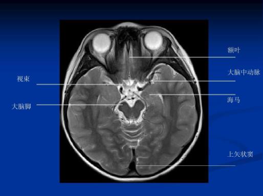
一文带你学透海马解剖
图片尺寸563x353
能点亮中脑边缘通路,杏仁核以及海马体创造愉悦情绪的音乐比如其中
图片尺寸750x421
海马体的位置与结构
图片尺寸1024x1024
因为女性海马回比男性大.
图片尺寸585x539
让你眼前一亮的海马解剖及萎缩分级|医学_网易订阅
图片尺寸640x437
也不算删除吧,负责记忆的主要是大脑里的海马体,是位于脑颞叶内的一个
图片尺寸690x414
南海中的深海"绿洲"——海马冷泉大型底栖生物群落丨美丽南海
图片尺寸463x614
大脑揭秘系列之十七:海马体的位置与功能
图片尺寸600x592
扫盲海马mri该如何扫描
图片尺寸600x342
海马高清磁共振解剖及扫描方法
图片尺寸787x828
海马神经元胞体位置与投射目标相对应.(研究团队制图)
图片尺寸893x555
位置逐渐向后移内界:四脑室外界:侧脑室前内侧海马脚止于侧脑室与海马
图片尺寸516x600
可能是大脑里这个区域受损了】 大脑里有个杏仁核,位置紧连着海马体
图片尺寸2108x1280
大脑海马区hippocampus学习了
图片尺寸1080x1439
海马区的位置
图片尺寸720x720
抑郁症患者|杏仁核|海马体|前额叶_网易订阅
图片尺寸606x600
海马结构(hf)
图片尺寸640x449