海马区CT

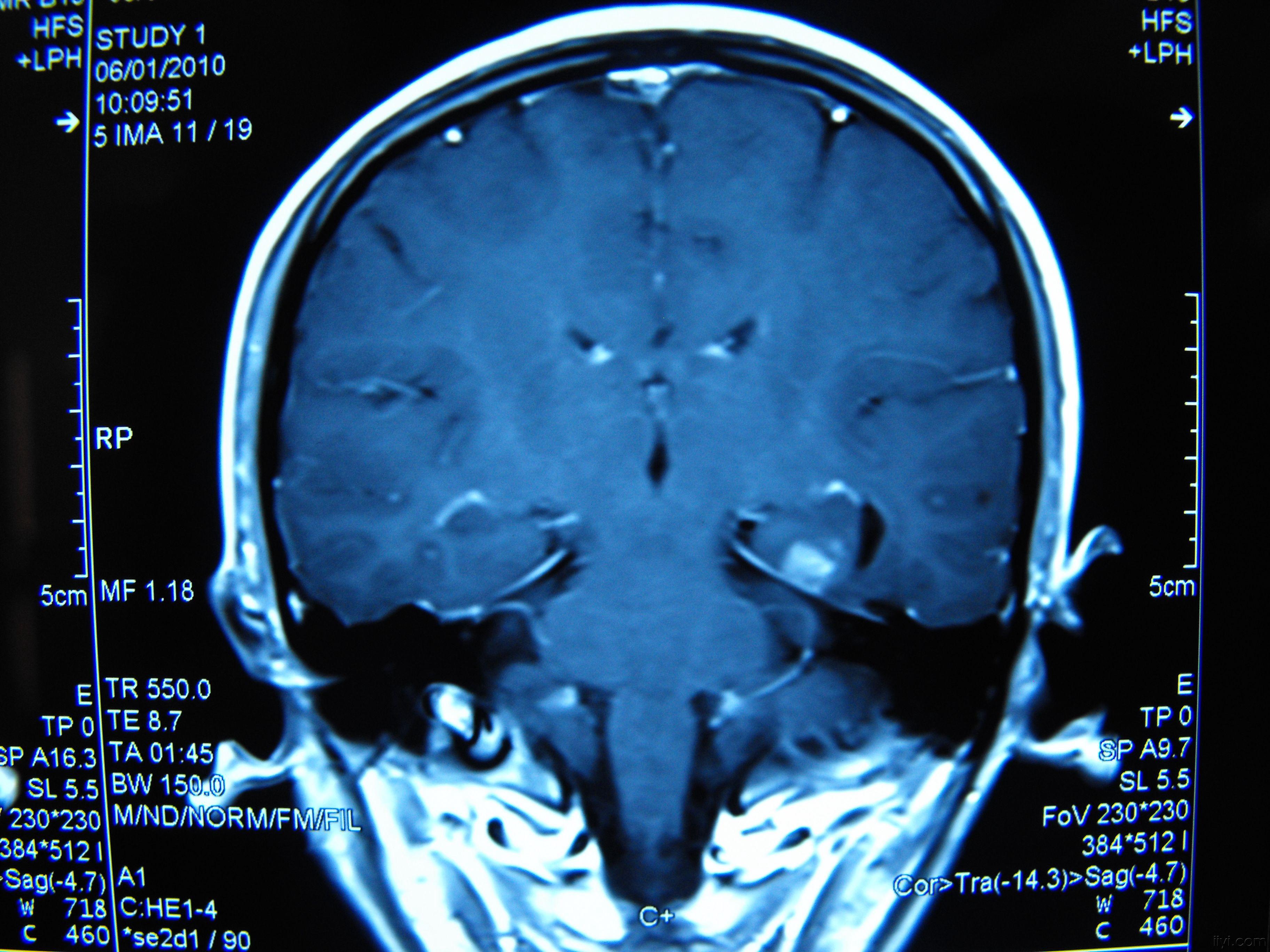
海马硬化的影像诊断
图片尺寸960x720
海马解剖及影像学评估
图片尺寸640x320
海马体正常解剖与疾病影像诊断
图片尺寸720x405
海马正常解剖与疾病影像诊断
图片尺寸1280x720
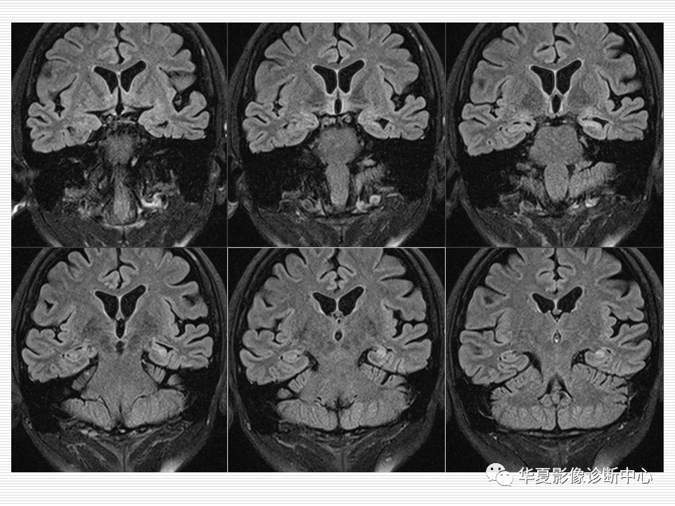
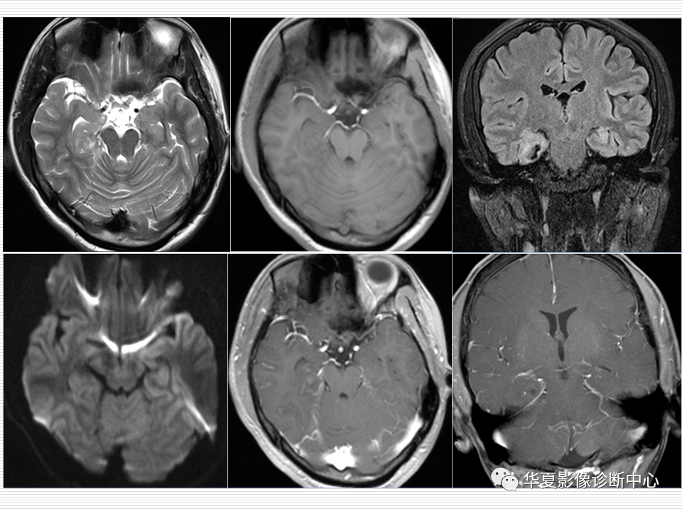
一例海马硬化图片
图片尺寸3648x2736
一例海马硬化图片
图片尺寸3648x2736
关于海马硬化的影像诊断
图片尺寸960x720
【影像讨论】海马区齿状排列影是何病变?邀请大家探讨(附头颅mri)
图片尺寸7196x5544
影像复习海马硬化的影像诊断
图片尺寸960x720
全脑放疗时海马保护区的勾画
图片尺寸516x600
一例海马硬化图片
图片尺寸3648x2736
脑放疗时如何精确勾画海马 - 好大夫在线
图片尺寸1440x1080
摘要: 目的 探讨海马体积对糖尿病认知功能障碍诊断价值.
图片尺寸1476x1161
海马高清磁共振解剖及扫描方法
图片尺寸921x827
关于海马硬化的影像诊断
图片尺寸960x720
关于海马硬化的影像诊断
图片尺寸960x720
关于海马硬化的影像诊断
图片尺寸960x720
颅脑ct彩色解剖
图片尺寸640x564
海马正常解剖与疾病影像诊断
图片尺寸1280x720
海马正常解剖与疾病影像诊断
图片尺寸1280x720