海马区ct位置

海马解剖及影像学评估
图片尺寸640x320
脑放疗时如何精确勾画海马 - 好大夫在线
图片尺寸1440x1080
海马体
图片尺寸300x300
海马高清磁共振解剖及扫描方法
图片尺寸921x827
扫盲海马mri该如何扫描
图片尺寸818x498
海马硬化型颞叶癫痫的外科治疗附42例报告
图片尺寸1378x1378
海马高清磁共振解剖及扫描方法
图片尺寸787x828
全脑放疗时海马保护区的勾画
图片尺寸516x600
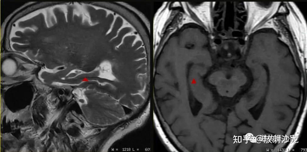
【影像讨论】海马区齿状排列影是何病变?邀请大家探讨(附头颅mri)
图片尺寸7196x5544
海马硬化的影像诊断
图片尺寸960x720
扫盲海马mri该如何扫描
图片尺寸600x342
海马正常解剖与疾病影像诊断
图片尺寸1280x720
影像基础:海马mri解剖分享讲解,2分钟学会!
图片尺寸480x270
二,影像表现:右颞叶海马区占位性病变,ct呈略高密度,t1wi呈低信号
图片尺寸1080x2340
扫盲海马mri该如何扫描
图片尺寸1009x502
二,影像表现:右颞叶海马区占位性病变,ct呈略高密度,t1wi呈低信号
图片尺寸1080x2340
影像复习海马硬化的影像诊断
图片尺寸960x720
影像复习海马硬化的影像诊断
图片尺寸960x720
进行性的记忆力下降,痴呆的症状,建议行颞叶海马杏仁核切除手术治疗
图片尺寸700x437
e(右侧):颞下回——海马头.
图片尺寸789x790