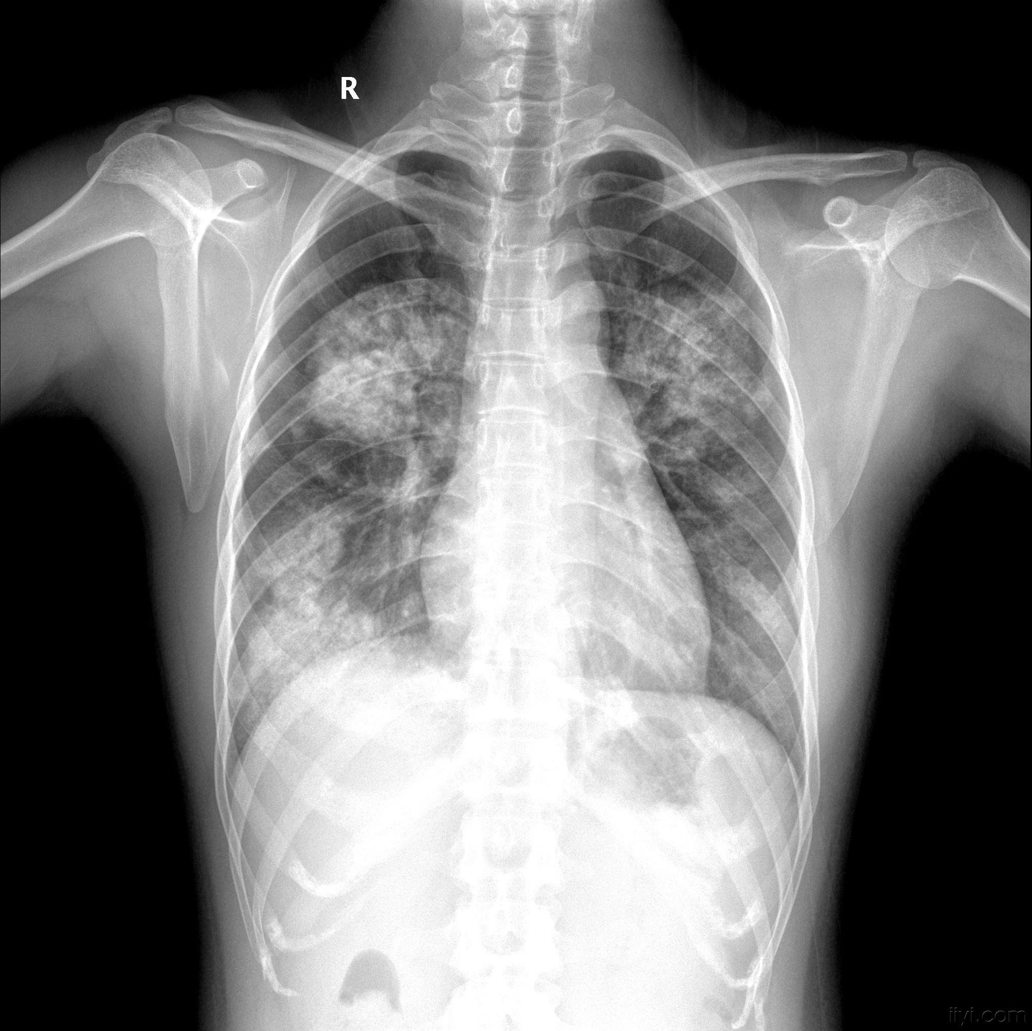
浸润性肺结核

肺渗出(浸润)性病变:浸润型肺结核.
图片尺寸964x564
浸润性肺结核的影像学特征
图片尺寸600x1514
复查胸部ct示双肺浸润性肺结核,左肺为主,考虑左侧结核性胸膜炎,左主
图片尺寸680x383
阅读全文>
图片尺寸1020x719![[问答题,简答题] 典型浸润型肺结核.](https://i.ecywang.com/upload/1/img2.baidu.com/it/u=3208199737,1884640463&fm=253&fmt=auto&app=138&f=JPEG?w=439&h=252)
[问答题,简答题] 典型浸润型肺结核.
图片尺寸439x252
典型病例大家先看看看有多少人认识已公布病例结果
图片尺寸2024x2022
浸润型肺结核(图)
图片尺寸641x481
浸润型肺结核:多见外源性继发型肺结核,即反复结核菌感染后所引起.
图片尺寸268x403
复查胸部ct示双肺浸润性肺结核,左肺为主,考虑左侧结核性胸膜炎,左主
图片尺寸680x383
一例重症肺结核的资料
图片尺寸2666x2000
胸部 x 线: 显示片状浸润,间质浸润,肺泡浸润, 腔,纤维化肺由于结核
图片尺寸700x437
浸润型肺结核 - 浸润性肺结核的发病机理 浸润性肺结核多见于曾
图片尺寸223x300
浸润性肺结核,双肺片状分布小叶中央型小结节并"树芽征".
图片尺寸585x403
大叶性炎.胸部 x 光胶片显示泡浸润在右中叶结核感染
图片尺寸700x467
肺结核 (tb): 胸部 x 光显示肺泡浸润在这两个由于结核杆菌感染的肺
图片尺寸700x467
肺结核
图片尺寸920x690
出结果,我是2012年年末在安徽黄山入职体检发现右上肺浸润性肺结核
图片尺寸592x1052
各型肺结核的典型影像表现
图片尺寸600x450
肺结核:病例来源,丁香园论坛站友@xueyuan999.
图片尺寸671x487
活性肺结核
图片尺寸1200x800