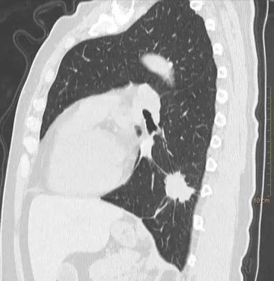
浸润性肺腺癌

病例1:浸润性肺腺癌 - 好大夫在线
图片尺寸535x547
肺微小浸润性腺癌的一些认识
图片尺寸640x420
肺结节浸润性腺癌诊疗过程
图片尺寸1080x810
肺炎型肺癌(浸润性粘液腺癌)——黄勇,杨澄清
图片尺寸512x512
8mm的浸润性肺腺癌长啥样? - 好大夫在线
图片尺寸2976x3968
浸润性腺癌
图片尺寸508x397
早期浸润性肺癌手术不犹豫,从发现4cm的混合性磨玻璃结节到手术用时2
图片尺寸1407x934
经典微浸润肺腺癌
图片尺寸1080x810
肺部磨玻璃阴影判断是肺原位癌或微浸润腺癌之所以重要_【吉康旅】
图片尺寸2478x2000
肺浸润性腺癌,已经露出狰狞的面孔
图片尺寸1080x1080
腔镜肺部结节切除,浸润性肺腺癌 - 好大夫在线
图片尺寸3016x4032
去年做了胸腔镜手术切除右肺上叶,病理是浸润性肺腺癌,今年复查恢复不
图片尺寸640x361
微浸润肺腺癌(mia)
图片尺寸1080x810
母亲浸润性粘液肺腺癌求合适的治疗方法跪谢
图片尺寸1080x1920
肺浸润性腺癌讨论病例【胸部等器官疾病诊断论坛病例166】
图片尺寸3120x4160
早期肺癌之微浸润癌mia
图片尺寸484x871
经典微浸润肺腺癌
图片尺寸1080x810
微浸润肺腺癌(mia)
图片尺寸1080x810
弟浸润性晚期肺腺癌
图片尺寸1080x1440
petct优秀病例肺部浸润型腺癌
图片尺寸1280x1003