淋巴结活检图片

大家活检时取出的淋巴结是什么颜色呢
图片尺寸800x1068
淋巴结活检
图片尺寸3264x2448
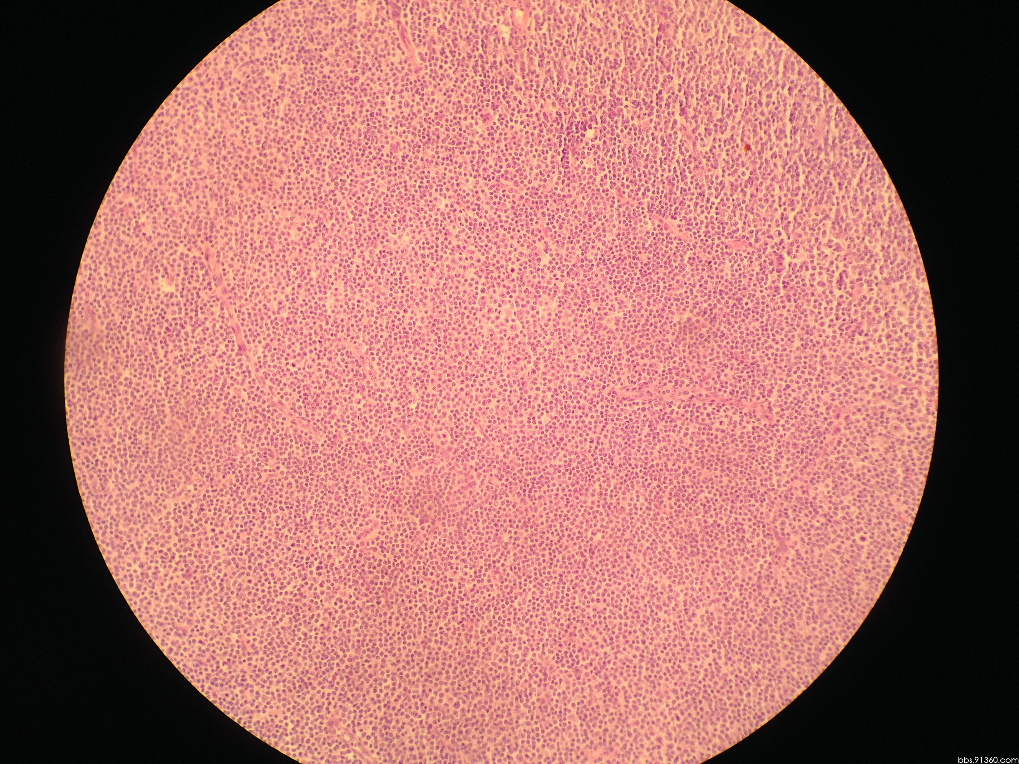
淋巴结活检
图片尺寸3264x2448
乳腺癌前哨淋巴结活检术
图片尺寸1538x1155
淋巴结活检
图片尺寸540x457
2021-05-12 淋巴结活检初步病理:淋巴组织增生性病变
图片尺寸640x1064
淋巴结肿大为哪般,穿刺活检来解疑 - 济南市中心医院
图片尺寸300x363
淋巴结穿刺活检
图片尺寸1024x1024
前哨淋巴结活检
图片尺寸498x415
淋巴结活检
图片尺寸3264x2448
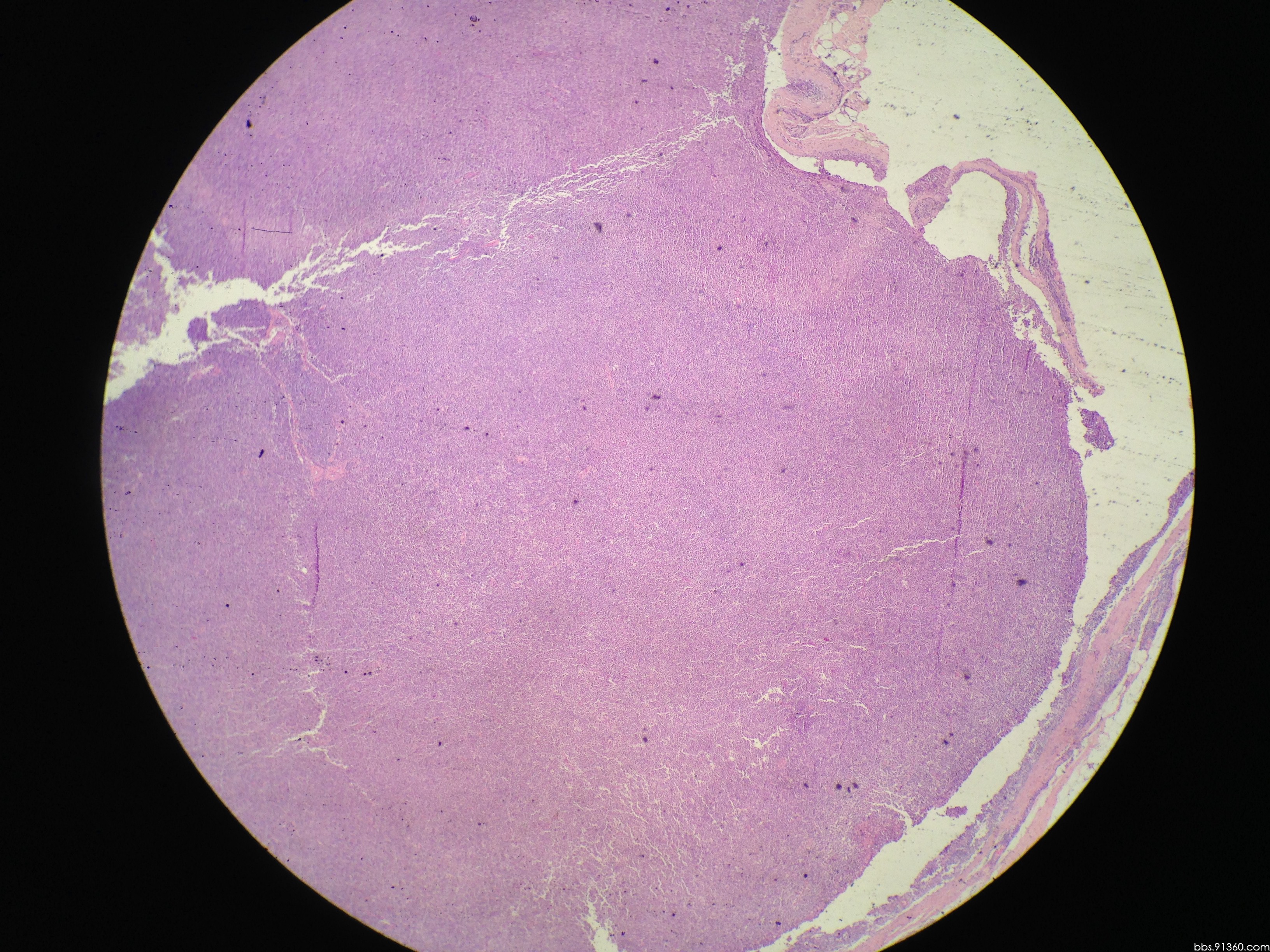
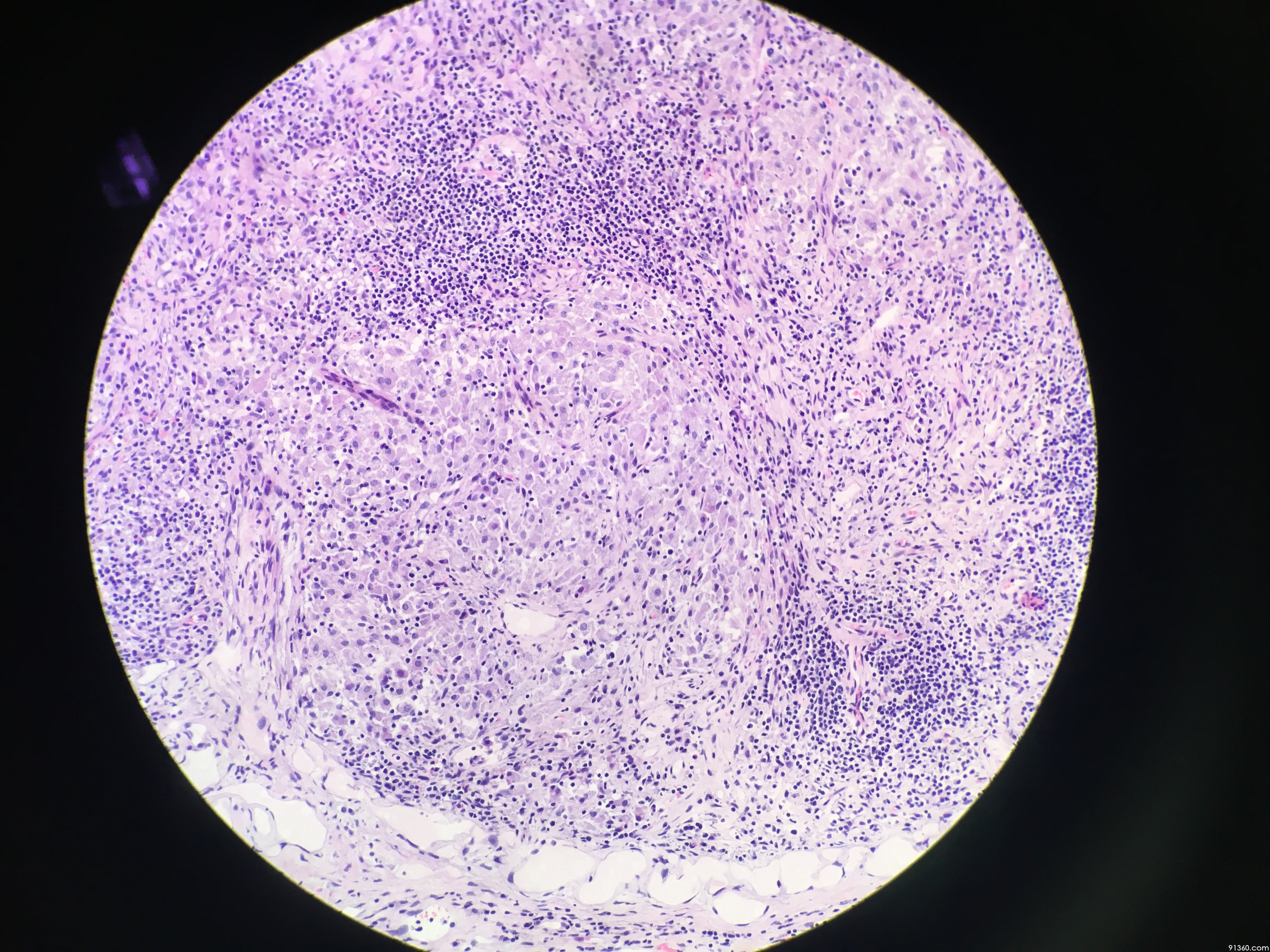
腹膜后淋巴结活检
图片尺寸4032x3024
腹膜后淋巴结活检
图片尺寸4032x3024
病变淋巴结活检如图所示,应首选的诊断是()
图片尺寸316x633
颈部淋巴结活检
图片尺寸800x600
淋巴结穿刺活检
图片尺寸1024x1024
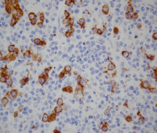
病理视角|男性 感染艾滋病毒,锁骨上淋巴结活检
图片尺寸1080x733
乳腺癌与前哨淋巴结活检
图片尺寸800x600
前哨淋巴结活检01.jpg
图片尺寸293x220
淋巴结活检一般多少钱(淋巴结肿大是淋巴瘤吗) - bat日报
图片尺寸881x1200
短,快,美!颈部淋巴结活检术也能美容缝合 !
图片尺寸450x800