淋巴结组胚

淋巴结的正常组织学
图片尺寸679x500
组织学/淋巴结
图片尺寸311x423
关于淋巴结
图片尺寸742x367
生理生化与组织胚胎 组胚 帖子详情淋巴结还是产生特异性免疫的基地.
图片尺寸573x450
淋巴结-生物学-百科知识
图片尺寸400x667
三淋巴器官
图片尺寸408x286
淋巴结
图片尺寸340x380
(图) 淋巴小结
图片尺寸1168x954
淋巴结皮质模式图
图片尺寸390x400
淋巴结
图片尺寸651x1180
淋巴组织结构与功能详解
图片尺寸815x738
淋巴结
图片尺寸200x219
我也来记录一下我的组胚红蓝铅笔图图好耶
图片尺寸2048x2048
淋巴结
图片尺寸406x301
组胚实验考试图及答案65张全在!
图片尺寸670x502
颈部淋巴结
图片尺寸965x724
组胚实验图免疫系统
图片尺寸664x450
四:淋巴结三:中动脉二:有髓神经纤维(纵切面 高倍镜)一:骨骼肌
图片尺寸2048x1705
组胚实验(老师电脑拷贝) - 刘克敏 - 一水隔天
图片尺寸662x421
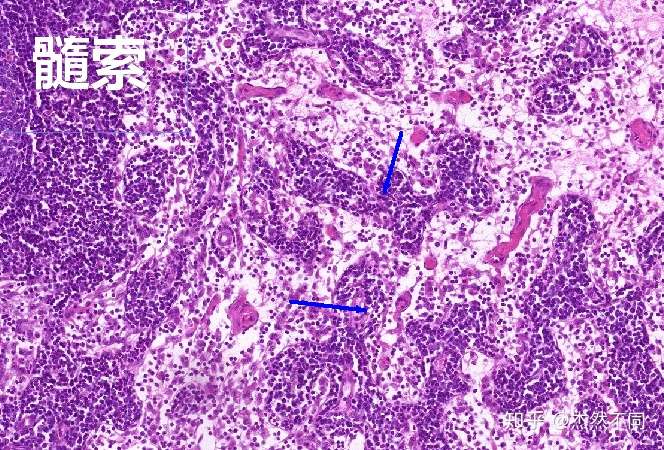
淋巴结(髓质)
图片尺寸1080x810