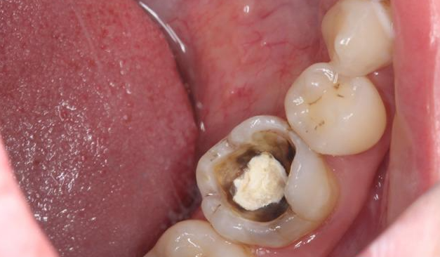
深龋近髓

深龋治疗的几个要点_医学界-助力医生临床决策和职业成长
图片尺寸630x487
深龋治疗的几个要点_医学界-助力医生临床决策和职业成长
图片尺寸627x366
深龋近髓要怎么处理呢?照书上预约去腐,安抚,垫底,充填
图片尺寸1708x1280
深龋去腐露髓了?怎么处理.
图片尺寸640x427
治疗中:34去龋后深达牙本质深层,近髓.33去龋后达牙本质浅层
图片尺寸1600x1200
看似中龋实际已深龋近髓
图片尺寸640x480
深龋近髓要怎么处理呢?照书上预约去腐,安抚,垫底,充填
图片尺寸960x1280
上障去龋,发现龋深近髓,慢速去龋.
图片尺寸640x359
step 1 去龋,备洞 去龋备洞后发现已经近髓,患者出现明显的冷刺激痛和
图片尺寸640x475
【病例分享】牙内陷伴深龋治疗一例_牙髓
图片尺寸535x484
患者 女 14周岁 左上颌7牙髓炎疼痛就诊 查体:27远中大面积龋坏近髓
图片尺寸560x1096
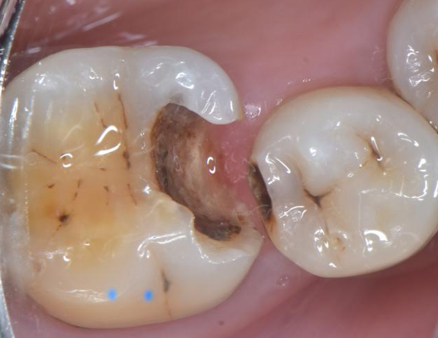
继续往下去龋,制备洞形,洞底最深处已经接近髓角4.
图片尺寸2376x1584
深龋(疾病)深龋的龋蚀已达到牙本质深层,接近牙髓,或已影响牙髓.
图片尺寸464x349
术中去腐术前照小伙子考虑先处理右上尖牙,去除腐质后,发现近髓,因为
图片尺寸560x772
去除腐质后,发现近髓,因为已经有牙髓症状,所以决定先做根管治疗再
图片尺寸560x764
深龋图片
图片尺寸514x386
牙体牙髓病 详情 检查:①患牙可查及近髓腔的深龋或其他硬组织疾病
图片尺寸400x389
浅龋1mm医生不建议补牙,那么龋洞多久会烂到牙神经?
图片尺寸500x500
患者来拔后牙,检查发现上前牙的邻面牙颈部深龋,去除龋腐,近髓,lc盖髓
图片尺寸1815x2048
26慢性牙髓炎x线检查:x片示中合面低密度影近髓,根尖周未见异常
图片尺寸640x569