混合牙列图片

儿童牙科混合齿列实际应用病例一台中美加
图片尺寸620x413
混合牙列期
图片尺寸1599x1199
混合牙列的系统治疗
图片尺寸640x423
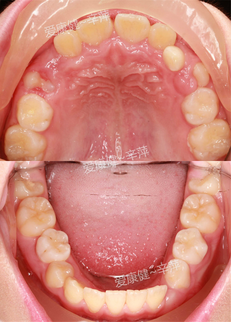
【求助】混合牙列期二类,请问怎么做?谢谢!
图片尺寸600x402
孩子换牙时一定不能吃硬物小心双排牙
图片尺寸836x534
【求助】混合牙列期二类,请问怎么做?谢谢!
图片尺寸599x433
混合牙列龋齿的治疗以及单个前牙反合的矫治
图片尺寸567x382
成人严重牙列拥挤伴开反合 - 好大夫在线
图片尺寸2876x1990
儿童牙科混合齿列实际应用病例一台中美加
图片尺寸620x413
混合牙列龋齿的治疗以及单个前牙反合的矫治
图片尺寸569x388
6岁儿童混合牙列的系统治疗及乳磨牙的姑息保留与复查
图片尺寸556x372
儿童牙科混合齿列实际应用病例一台中美加
图片尺寸620x413
青少年开合矫正案例
图片尺寸1920x1080
图2a至i:8岁替牙早期混合牙列开始治疗时的口外和口内情况:安氏ii类
图片尺寸827x466
儿童牙科混合齿列实际应用病例一台中美加
图片尺寸620x413
前牙反颌;10岁的小曦因地包天来诊要求矫治,检查后诊断其属"混合牙列
图片尺寸765x1066
儿童牙列的发育过程可分3个阶段,即乳牙列(6个月~6岁),混合牙列(6
图片尺寸700x359
6岁儿童混合牙列的系统治疗及乳磨牙的姑息保留与复查
图片尺寸543x375
混合牙列龋齿的治疗以及单个前牙反合的矫治
图片尺寸600x407
混合牙列龋齿的治疗以及单个前牙反合的矫治
图片尺寸541x329