混合磨玻璃结节

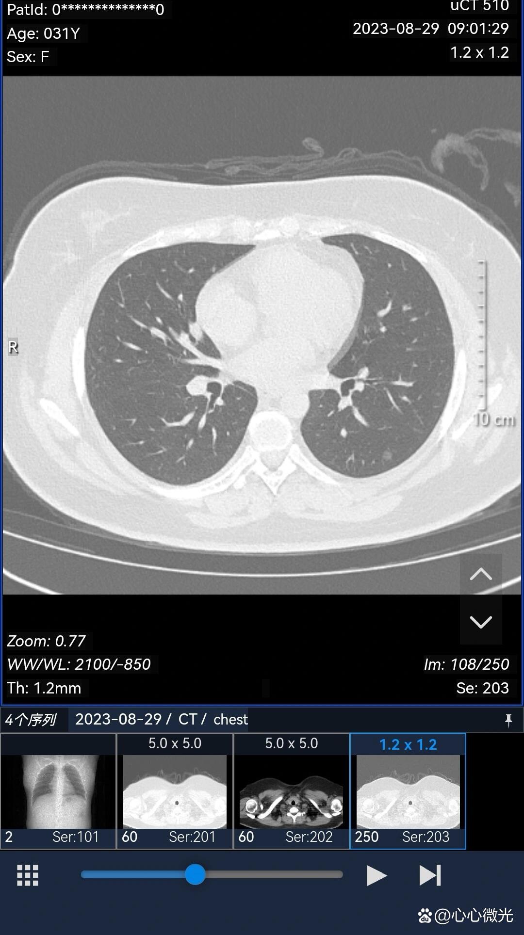
混合磨玻璃结节如果是恶性的,一般至少都是微浸润性,所以对此类 - 抖
图片尺寸1440x2688
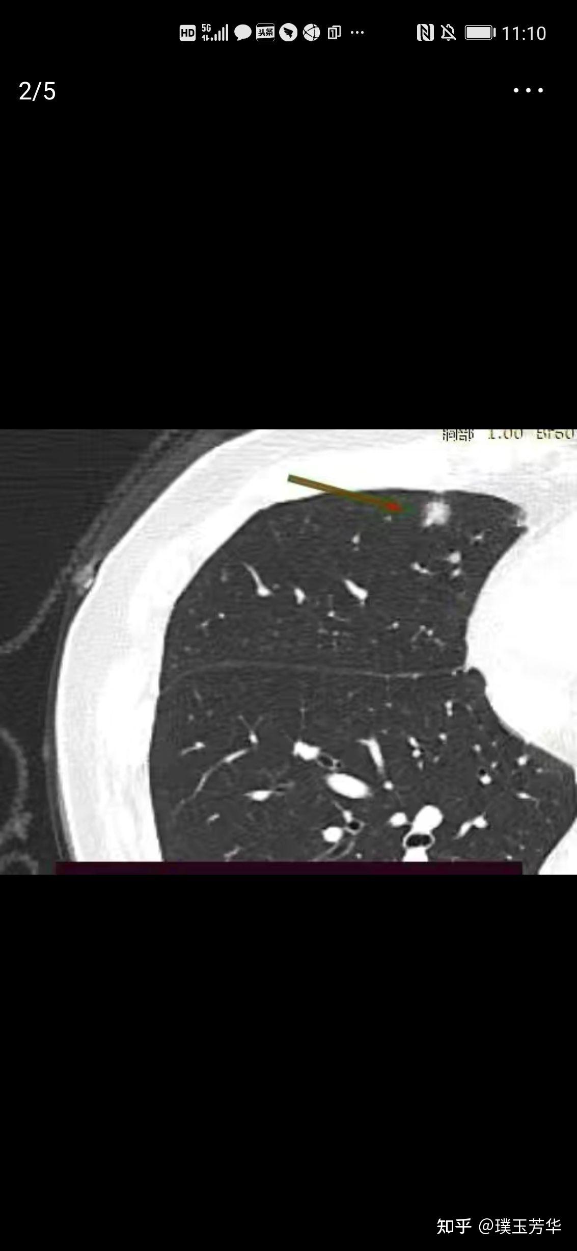
典型的右上肺腺癌的混合密度磨玻璃结节.
图片尺寸1440x1898
19mm的混合磨玻璃结节复查没有缩小,适时楔形切除小手术可以根治
图片尺寸640x638
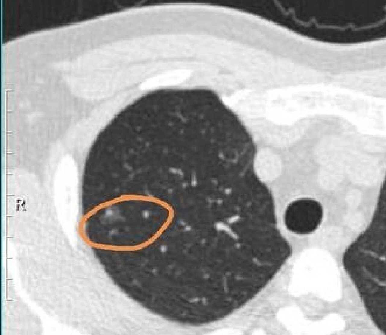
9岁女孩查出6mm混杂磨玻璃结节,是肺癌吗?一句话,让家长放心.
图片尺寸1407x1280
青年女性,实性成分快速增加的混合磨玻璃结节
图片尺寸1920x1080
青年女性,实性成分快速增加的混合磨玻璃结节
图片尺寸1920x1080
混合磨玻璃结节,就医经历
图片尺寸1080x1928
新冠后肺上混合磨玻璃结节
图片尺寸1080x1920
混杂密度磨玻璃结节
图片尺寸1080x810
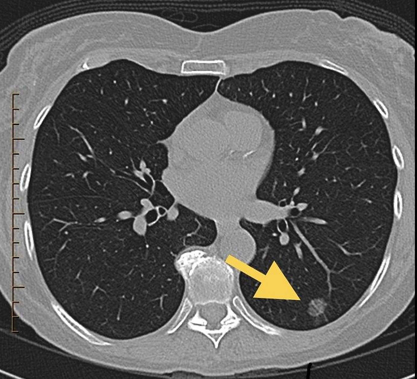
8mm混合磨玻璃肺结节当地建议做活检,我回复:手术不犹豫
图片尺寸1133x2453
问诊分析:24岁妙龄女子查出混合磨玻璃结节,随访6年了,结果会如何?
图片尺寸890x588
问诊分析:24岁妙龄女子查出混合磨玻璃结节,随访6年了,结果会如何?
图片尺寸1080x1340
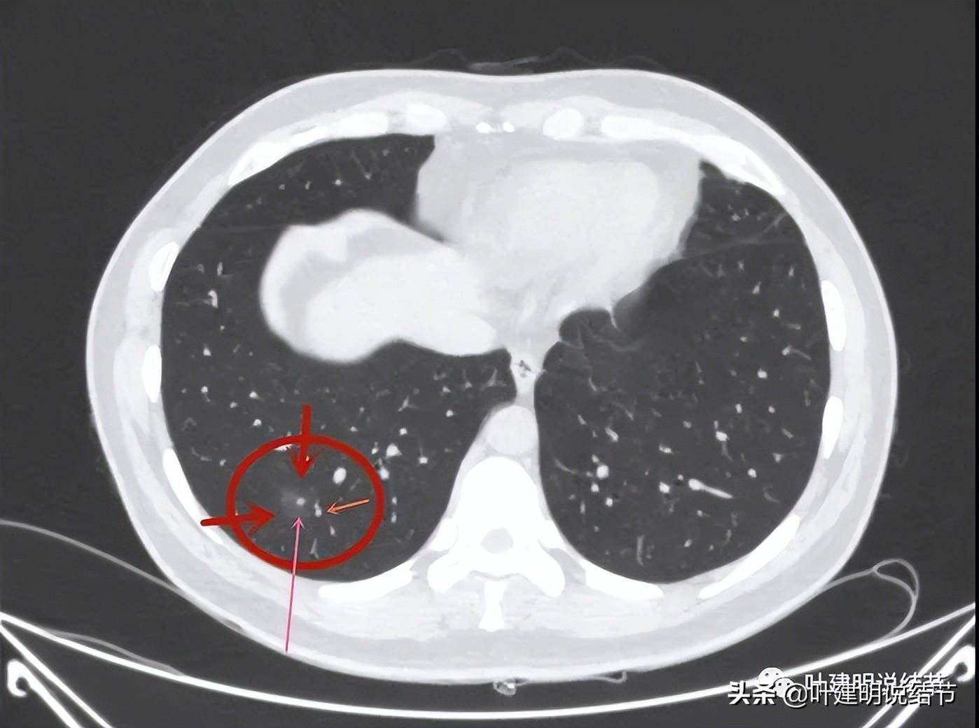
有微乳头亚型和气腔播散,1cm的混合磨玻璃肺结节也可以来者不善
图片尺寸1133x2453
问诊分析:肺混合磨玻璃结节就得尽快手术?其实也可多年不进展的!
图片尺寸971x842
问诊分析:24岁妙龄女子查出混合磨玻璃结节,随访6年了,结果会如何?
图片尺寸1080x1077
问诊分析:24岁妙龄女子查出混合磨玻璃结节,随访6年了,结果会如何?
图片尺寸1080x589
混合磨玻璃结节代表性质超出原位癌了吗?
图片尺寸1280x1110
7.24):3年没复查的混合磨玻璃结节进展了!我给他切了,却不是癌!
图片尺寸1080x1354
问诊分析:24岁妙龄女子查出混合磨玻璃结节,随访6年了,结果会如何?
图片尺寸1080x1074
这样的混合磨玻璃结节别急着手术切除_病灶_密度_成分
图片尺寸1398x1040