渗透树脂

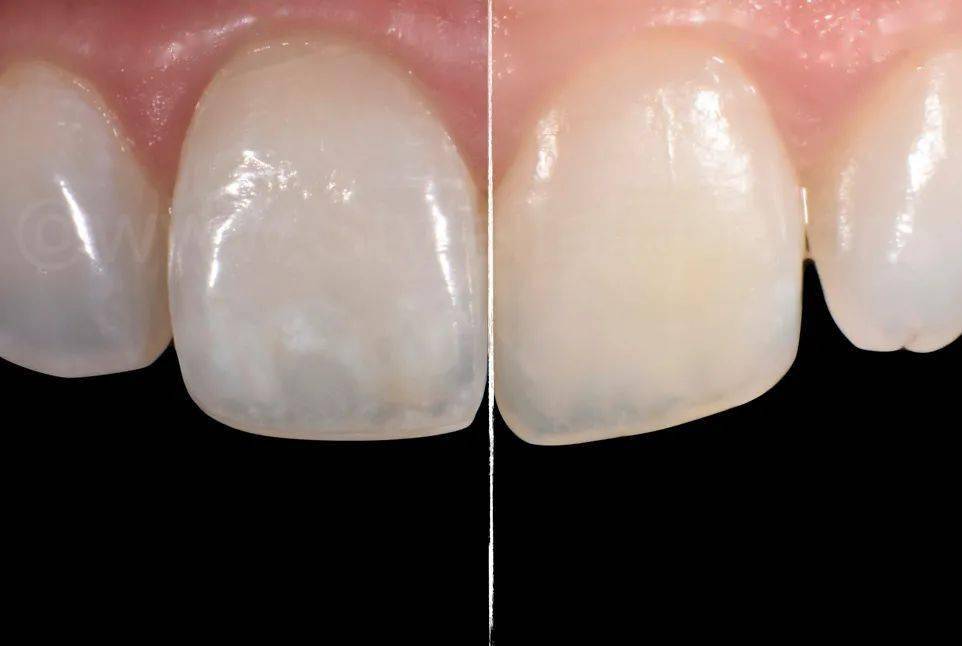
牙医学堂树脂渗透酸蚀终止的时机把握
图片尺寸962x646
dmg icon 牙科渗透树脂/牙科粘结剂2套/盒
图片尺寸800x800
dmg icon 牙科渗透树脂/牙科粘结剂#220238
图片尺寸800x1677
高渗透改性环氧树脂灌浆料青岛
图片尺寸750x750
dmg icon 牙科渗透树脂/牙科粘结剂#220238
图片尺寸800x1245
lcon爱康渗透树脂
图片尺寸702x461
牙医学堂树脂渗透酸蚀终止的时机把握
图片尺寸962x646
牙科材料口腔渗透树脂 dmg美白渗透树脂套装 氟斑牙黄牙美白
图片尺寸2000x2000
牙医学堂树脂渗透酸蚀终止的时机把握
图片尺寸962x646
牙医学堂树脂渗透酸蚀终止的时机把握
图片尺寸962x646
牙医学堂树脂渗透酸蚀终止的时机把握
图片尺寸962x646
dmg icon爱康邻面渗透树脂
图片尺寸1080x1080
平武抗渗透树脂量大从优
图片尺寸600x400
牙医学堂树脂渗透酸蚀终止的时机把握
图片尺寸962x646
牙医学堂树脂渗透酸蚀终止的时机把握
图片尺寸962x646
牙医学堂树脂渗透酸蚀终止的时机把握
图片尺寸962x646
牙医学堂树脂渗透酸蚀终止的时机把握
图片尺寸962x646
第一次涂布渗透树脂
图片尺寸1080x1440
【病例分享】渗透树脂治疗氟斑牙前牙一例
图片尺寸1080x720
牙医学堂树脂渗透酸蚀终止的时机把握
图片尺寸962x646