游离性胸腔积液

游离性胸腔积液
图片尺寸1120x1128
青年男性的胸腔积液
图片尺寸3000x4000![胸腔积液 [病例帖]](https://i.ecywang.com/upload/1/img0.baidu.com/it/u=716141332,1823093964&fm=253&fmt=auto&app=138&f=JPEG?w=500&h=375)
胸腔积液 [病例帖]
图片尺寸3072x2304
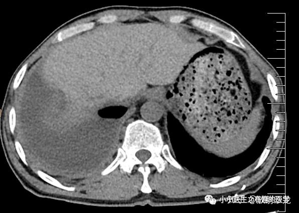
右侧胸腔积液
图片尺寸512x512
竟然有人在质疑我们的真实性,这几瓶子胸腔积液只是当时的一点点 - 抖
图片尺寸1440x1920![胸腔积液 [病例帖]](https://i.ecywang.com/upload/1/img0.baidu.com/it/u=3852987128,4002742642&fm=253&fmt=auto&app=138&f=JPEG?w=667&h=500)
胸腔积液 [病例帖]
图片尺寸3072x2304
少量,中量,多量胸腔游离积液是如何划分的?
图片尺寸640x458
游离性胸腔积液 (1)少量积液 液体 先积于后肋膈角,站立 后前位胸片
图片尺寸1080x810
有趣病例游走的胸腔积液
图片尺寸602x456
有趣病例游走的胸腔积液
图片尺寸599x469
有趣病例游走的胸腔积液
图片尺寸600x432
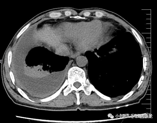
胸腔积液
图片尺寸4608x2592
科普四胸腔镜诊断胸腔积液
图片尺寸858x1142
包裹性胸腔积液 右下半圆形 影,上下夹角 为钝角,边缘 清楚,密度均 匀
图片尺寸1080x810
影像学提示胸腔积液,为什么抽不到呢?
图片尺寸852x512
胸腔积液
图片尺寸540x800
左侧包裹 性胸腔积液 46
图片尺寸1080x810
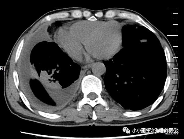
右侧胸腔积液
图片尺寸512x512
胸腔积液
图片尺寸1500x2000
有趣病例游走的胸腔积液
图片尺寸596x425