潘氏细胞染色

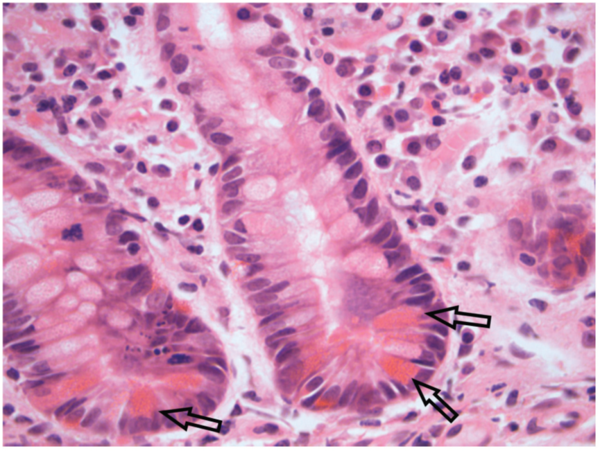
潘氏细胞
图片尺寸229x350
潘氏细胞荧光桃红b染色
图片尺寸150x150
指南共识 | ecco官方立场: 如何定义炎症性肠病组织学异常
图片尺寸865x651
指南共识 | ecco官方立场: 如何定义炎症性肠病组织学异常
图片尺寸865x651
位于黏膜肌层下方的隐窝底部具有嗜酸性颗粒的潘氏细胞
图片尺寸746x956
paneth细胞在右半结肠隐窝底部可见,远端1/3横结肠后出现,则提示出现
图片尺寸1080x738
请问猪小肠内是否存在潘氏细胞
图片尺寸1192x2124
肠道潘氏细胞的微观结构
图片尺寸720x473
潘氏细胞
图片尺寸672x444
三系低,涂片镜检发现异常细胞(疑似白血病细胞)咨询患者后综合分析
图片尺寸690x920
807-甲状腺切除术显示嗜酸细胞滤泡癌.肿瘤细胞呈滤泡状生长.
图片尺寸1080x1434
黏液分泌减少(mucin depletion):定义为杯状细胞减少或细胞内黏液
图片尺寸640x480
图片
图片尺寸1080x1081
杨岚:检查发现,流产胚胎染色体为47,xxy,比正常者多了一条x染色体.
图片尺寸1080x815
从图中可见,hfd组细胞内与细胞间糖原染色明显增多,糖原颗粒明显
图片尺寸700x479
2023卫生资格考试--临检部分(二十四)|脑脊液|临检|分析|细胞|-健康界
图片尺寸1080x604
cnsl脑脊液中的嗜碱性粒细胞
图片尺寸534x534
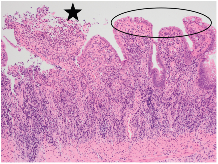
杯状细胞和潘氏细胞缺失,隐窝大量凋亡.
图片尺寸1080x656
细胞相容性评价【皮下植入】图4通过皮下植入实验评估了cethr涂层的
图片尺寸554x813
右侧腺体粘液分泌明显减少,可见凋亡和核分裂像,局部可见潘氏细胞化生
图片尺寸1080x649