灰质异位症

结果:灰质异位(gmh).
图片尺寸918x791
灰质异位导致的癫痫 - 好大夫在线
图片尺寸640x647
医影学堂丨八个病例带你看懂脑灰质异位的三种类型
图片尺寸478x261
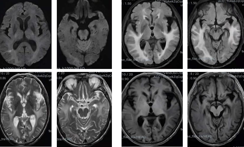
【每日一例1213】4岁男童,灰质异位的病例分析
图片尺寸1080x608
精品课件脑灰质异位症的影像诊断
图片尺寸960x720
八个病例带你看懂脑灰质异位的三种类型_医学界-助力医生临床决策和
图片尺寸620x708
右侧脑室旁脑灰质异位
图片尺寸1716x1028
进行核上性麻痹亚急性联合变性灰质异位症丨3分钟读片6126期
图片尺寸433x703
三种类型的脑灰质异位影像学你都会看吗
图片尺寸620x235
脑灰质异位症
图片尺寸447x257
间断性癫痫一年.影像诊断脑灰质移位,北京天坛医院证实.8303466052
图片尺寸640x715
脑灰质异位
图片尺寸1200x1600
脑灰质异位症
图片尺寸671x258
精品课件脑灰质异位症的影像诊断
图片尺寸960x720
精品课件脑灰质异位症的影像诊断
图片尺寸960x720
进行核上性麻痹亚急性联合变性灰质异位症丨3分钟读片6126期
图片尺寸809x465
看图说话1脑灰质异位脑裂畸形
图片尺寸1417x1518
三种类型的脑灰质异位影像学你都会看吗
图片尺寸620x708
医影学堂丨八个病例带你看懂脑灰质异位的三种类型
图片尺寸1080x1062
进行核上性麻痹亚急性联合变性灰质异位症丨3分钟读片6126期
图片尺寸833x503