炎性细胞

请教怎么看病理图中的炎性细胞非常感谢
图片尺寸900x419
炎性细胞
图片尺寸640x481
炎性细胞
图片尺寸640x465
儿童嗜酸粒细胞性支气管炎案例分析_腾讯新闻
图片尺寸846x847
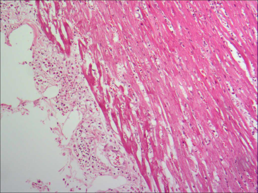
心外膜炎性细胞浸润
图片尺寸1024x768
化脓性炎伴组织细胞反应性增生3691360乳腺沙龙案例6
图片尺寸1280x960
炎性细胞
图片尺寸640x480
心外膜炎性细胞浸润
图片尺寸1024x768
化脓性炎伴组织细胞反应性增生.3.6【91360乳腺沙龙案例6】
图片尺寸1280x960
急性化脓性根尖周炎:大量中性粒细胞游出.
图片尺寸1080x810
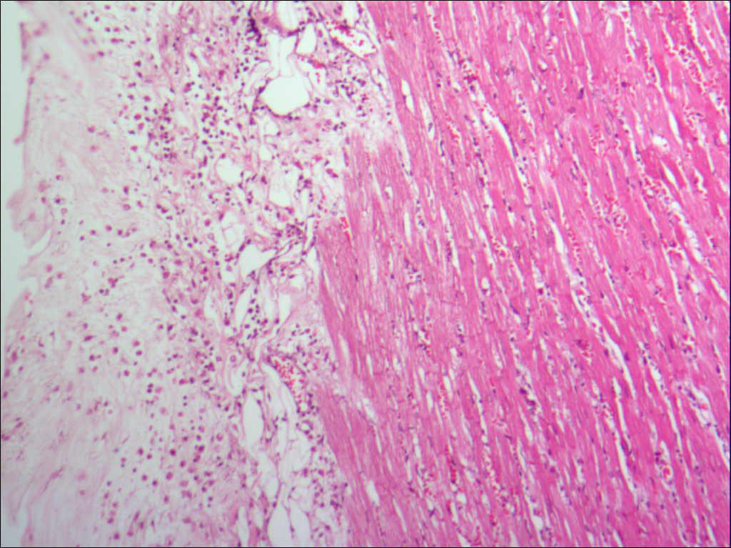
心肌间质炎性细胞浸润
图片尺寸1024x768
少见特殊免疫表型的炎性肌纤维母细胞瘤
图片尺寸4160x2298
图7 微观显示炎性细胞浸润,无肿瘤细胞
图片尺寸474x351
化脓性炎伴组织细胞反应性增生3691360乳腺沙龙案例6
图片尺寸1280x960
炎性皮肤病变的细胞学
图片尺寸426x721
炎性细胞
图片尺寸640x480
讨论病例1浆细胞性龟头炎 ca
图片尺寸1024x768
讨论病例1浆细胞性龟头炎 ca
图片尺寸1024x768
炎性浸润的形态学改变:◆隐窝炎(cryptitis):中性粒细胞出现在隐窝上
图片尺寸960x720
可见由淋巴细胞,上皮样细胞及多核巨细胞构成的肉芽肿性炎性结节
图片尺寸661x493