烤瓷冠桥

种植牙虽好,烤瓷桥真的有那么不堪吗?
图片尺寸500x336
医生会取下之前戴上的临时固定桥,试戴正式做好的烤瓷桥或者是全瓷桥
图片尺寸500x340
全瓷连桥冠实例图
图片尺寸500x280
恒升健齿·金属烤瓷冠桥
图片尺寸800x800
连桥烤瓷冠
图片尺寸400x400
烤瓷牙连桥冠
图片尺寸650x329
把牙磨小了做烤瓷牙好吗缺一颗牙做三颗烤瓷牙的利弊分析
图片尺寸500x358
牙科美国neo含铍烤瓷钢义齿加工技工专用烤瓷钢底冠合金冠桥固定
图片尺寸750x750
被骗做烤瓷牙每天很抑郁缺一颗牙做三颗烤瓷牙的利弊剖析
图片尺寸500x371
牙科陶瓷桥牙科烤瓷冠修复牙根牙柱在白色上的三维渲染年轻女人穿透明
图片尺寸450x300
珠海三通陶齿有限公司
图片尺寸600x600
按下陶瓷牙,高度审美 emax 按下陶瓷桥, 冠.
图片尺寸1023x682
生物纳米烤瓷冠/桥
图片尺寸579x355
南通烤瓷牙修复价格是多少全瓷牙价格是不是更贵
图片尺寸400x400
大牙烂了牙医建议弄全瓷牙,可全瓷牙和烤瓷牙哪个好啊?
图片尺寸500x500
lava氧化锆烤瓷桥舌面观(口内):修复后lava氧化锆烤瓷桥唇面观(口内)
图片尺寸2500x1667
义齿冠桥修复体试戴技巧
图片尺寸1080x719
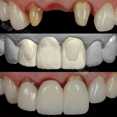
全瓷牙连桥冠修复
图片尺寸400x400
烤瓷桥掉了以后,是继续做烤瓷牙桥,还是种植牙加烤瓷牙冠?
图片尺寸720x1280
烤瓷牙-牙桥,镜面上牙科医生办公室制作的漂亮瓷牙.
图片尺寸1023x682