烤瓷牙牙龈黑线

跪求专业牙医看看我上下牙龈长期是黑色的.
图片尺寸500x373
(烤瓷牙会有牙龈黑线,而全瓷牙不会有这样的问题)(2)全瓷牙人体相容性
图片尺寸1106x828
烤瓷牙牙龈处出现缝隙且里边发黑(像是虫牙)
图片尺寸1936x2592
帮我看看我这个烤瓷牙牙龈有点发黑?要怎么解决啊?怎么办啊?
图片尺寸535x356
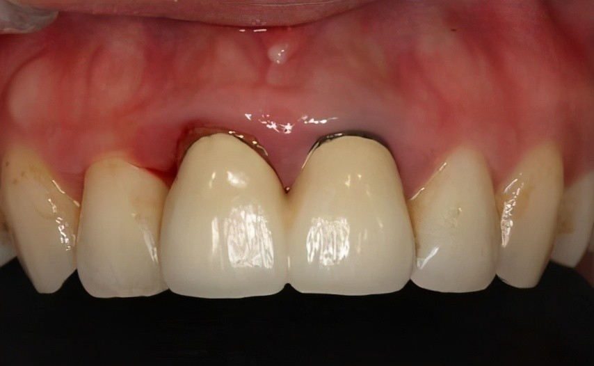
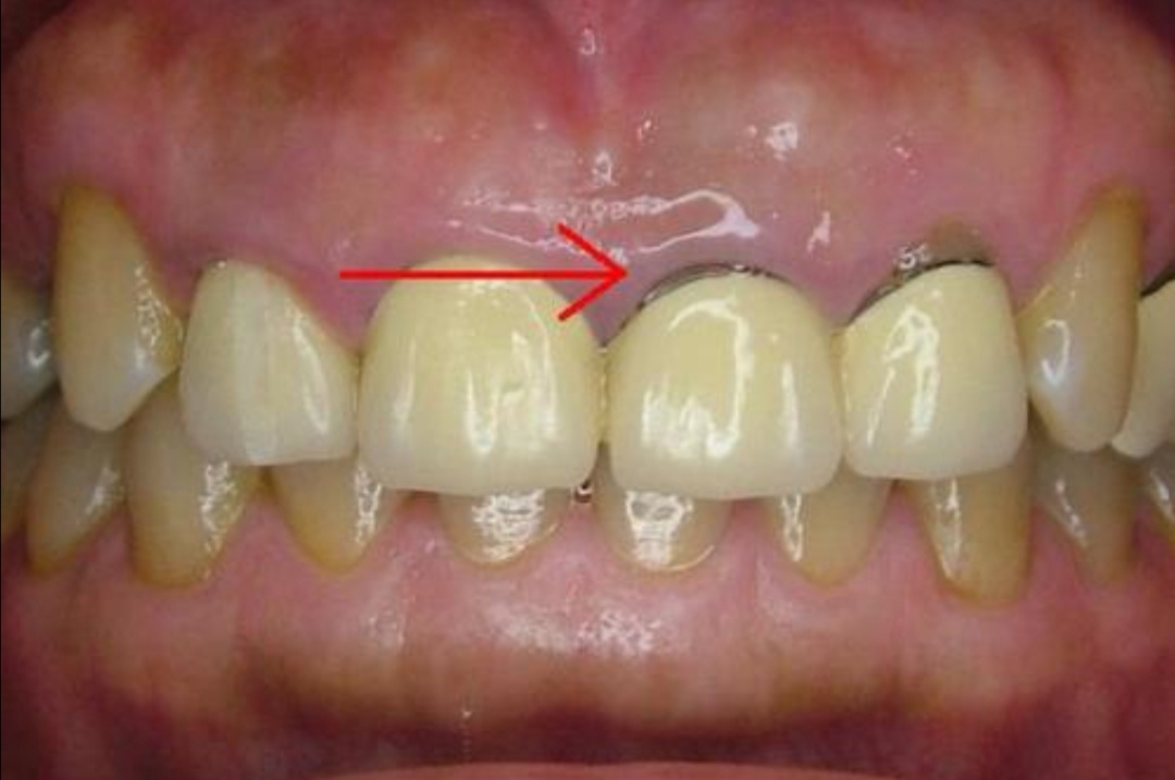
龈缘变黑全瓷冠的再次处理 上海市口腔医院 修复科 包向军
图片尺寸1399x784
这是什么导致的?做烤瓷牙之前要想清楚
图片尺寸1080x717
金属烤瓷牙导致的牙龈黑线
图片尺寸590x308
刘小姐前面两个门牙做过烤瓷牙,但是牙龈已经发黑,到活力口腔重新
图片尺寸379x249
""自从戴上烤瓷牙冠,经常牙龈红肿流血"
图片尺寸854x526
烤瓷牙的区别主要在内冠,前者是瓷,后者是金属,而金属会导致牙龈发黑
图片尺寸488x327
烤瓷牙边缘变黑,要换新的吗?
图片尺寸372x228
龈缘变黑全瓷冠的再次处理 上海市口腔医院 修复科 包向军
图片尺寸1808x1200
龈缘变黑全瓷冠的再次处理 上海市口腔医院 修复科 包向军
图片尺寸1432x801
烤瓷牙发黑有必要重做吗?牙龈都发黑了还不换你可长点心吧!
图片尺寸500x407
龈缘变黑全瓷冠的再次处理 上海市口腔医院 修复科 包向军
图片尺寸1492x656
烤瓷牙牙龈黑线 图源www.lzmei.com
图片尺寸600x285
医生,医生怎么我的烤瓷牙上有个黑线,怎么办.
图片尺寸878x505
烤瓷牙发黑有必要重做吗?牙龈都发黑了还不换你可长点心吧!
图片尺寸500x438
尴尬!烤瓷牙套用久了边缘出现"黑线"
图片尺寸550x300
牙龈发黑是什么原因
图片尺寸500x332