烤瓷牙缝隙

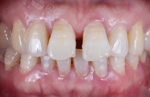
烤瓷牙一般可以用多少年
图片尺寸600x323
烤瓷牙有缝隙怎么办需要重做吗
图片尺寸450x338
早些年做了烤瓷牙的患者注意了看看有没有出现以下问题
图片尺寸854x526
烤瓷牙臭是为什么
图片尺寸662x340
刚刚做了两个前门牙的联体烤瓷牙,氧化铝全瓷,感觉烤瓷和牙龈有缝隙
图片尺寸1401x937
烤瓷冠修复牙缝对比
图片尺寸320x346
烤瓷牙牙龈处出现缝隙且里边发黑(像是虫牙)
图片尺寸1936x2592
推荐指数:★★★烤瓷牙可以快速的修复门牙缝隙,但是需要磨出自然牙体
图片尺寸600x406
吃东西总是塞牙,用手指扣一下自己的作的烤瓷牙,手指甲会卡在缝隙里
图片尺寸500x375
烤瓷牙缝隙大塞牙怎么处理
图片尺寸498x256
烤瓷牙磨牙失败
图片尺寸500x260
钴铬烤瓷牙的注意事项
图片尺寸624x230
烤瓷牙可以戴到牙龈外面吗
图片尺寸693x301
前牙间隙美观修复一例
图片尺寸941x589
瓷贴面治疗前 双侧门牙牙缝大,颜色暗黄
图片尺寸1920x1080
烤瓷牙有缝隙怎么办烤瓷牙有缝隙怎么修复图
图片尺寸605x375
烤瓷牙发黑有必要重做吗?牙龈都发黑了还不换你可长点心吧!
图片尺寸500x407
有可能会把粘烤瓷牙的粘接剂震松脱落,使真牙与烤瓷牙间产生缝隙,甚至
图片尺寸500x277
门牙牙缝很大我上个月到南通玉蕙口腔医院做了全瓷贴面
图片尺寸500x326!["医生,我的牙缝大怎么办" "瓷贴面可以帮你解决哦" [小仙女]看瓷贴面](https://i.ecywang.com/upload/1/img1.baidu.com/it/u=3505624449,2724680009&fm=253&fmt=auto&app=120&f=JPEG?w=898&h=500)
"医生,我的牙缝大怎么办" "瓷贴面可以帮你解决哦" [小仙女]看瓷贴面
图片尺寸1299x723