牙体缺损严重图片

牙列缺损的病因
图片尺寸500x236
牙体缺损
图片尺寸300x220
牙齿美容修复可以改善哪些问题?注意事项有什么?
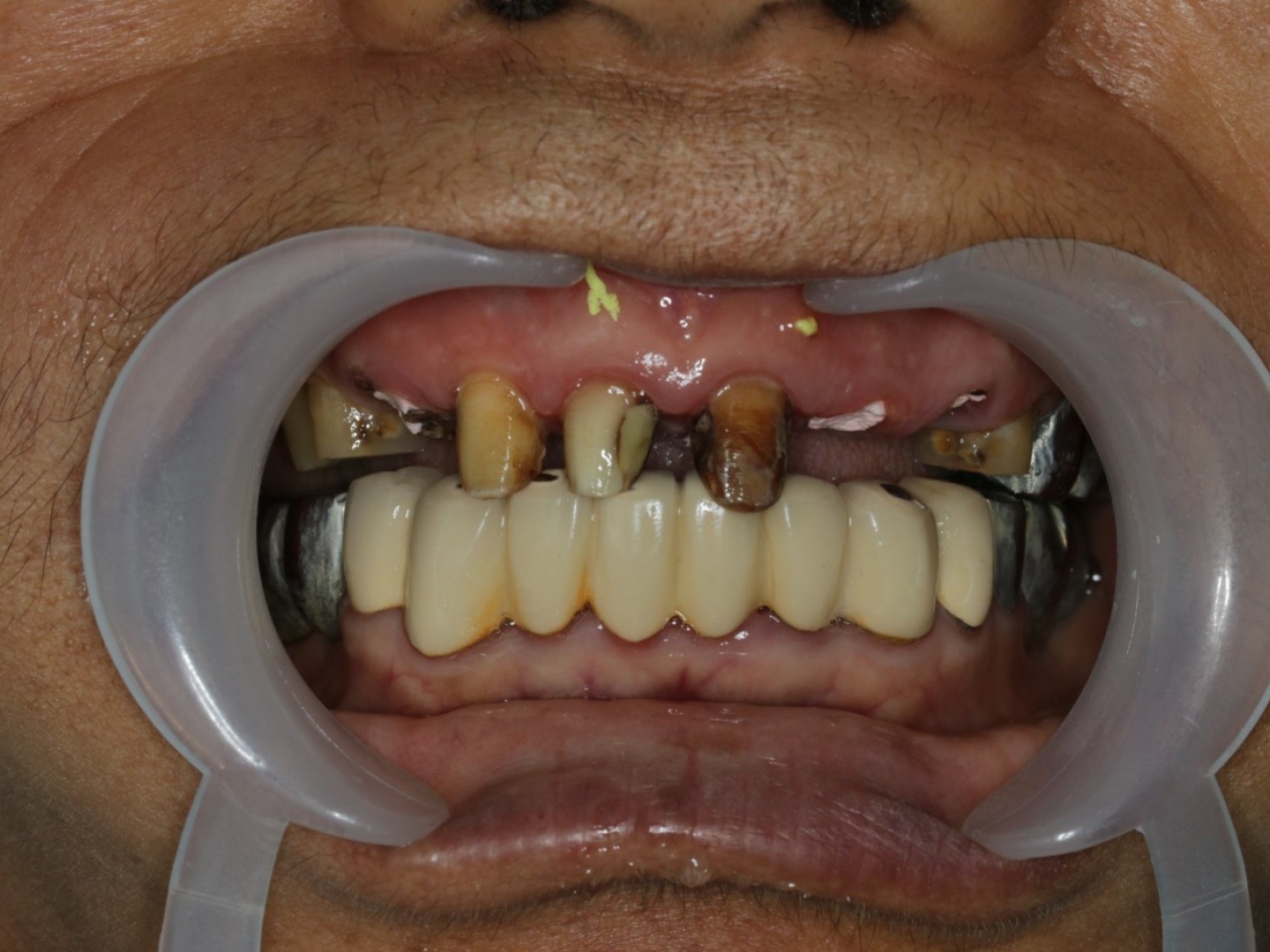
图片尺寸400x400![【病例讨论】一例复杂牙列缺损的修复(「口腔病例征集」) [病例帖]](https://i.ecywang.com/upload/1/img2.baidu.com/it/u=581408193,2425041033&fm=253&fmt=auto&app=138&f=PNG?w=429&h=303)
【病例讨论】一例复杂牙列缺损的修复(「口腔病例征集」) [病例帖]
图片尺寸429x303
牙列缺损上半口即刻负重一例
图片尺寸1080x605
以近日就诊的这位阿姨为例: 前牙缺损显而易
图片尺寸4704x1470
活动义齿修复下颌牙列缺损
图片尺寸552x367
门牙缺损修复一例 - 好大夫在线
图片尺寸1440x1080
牙列缺损上半口即刻负重一例
图片尺寸1080x605
牙列缺损上半口即刻负重一例
图片尺寸601x339
临床诊断:左上中切牙牙体缺损.
图片尺寸660x462
牙列缺损上半口即刻负重一例
图片尺寸586x330
其它 吴昌秀牙齿情况 左下4深度楔状缺损,第一步需要麻醉后根管治疗(1
图片尺寸1200x2137
浅谈楔状缺损的原因可能是刷牙不正确
图片尺寸400x293
牙体缺损
图片尺寸400x222
楔缺楔状缺损和刷牙方式,咬合等都有关系,楔缺容易导致牙齿敏感,严重
图片尺寸686x430
首页 牙博士连锁品牌 因为使用牙齿不当,或者是牙齿出现缺损未
图片尺寸450x256
前几天带我姥爷过来面诊,早起他做了烤瓷牙,现在都坏_圈子-新氧美容
图片尺寸1440x1080
牙只能算促进因素而不是主要病因)等造成的应力集中,缺损底部和边角
图片尺寸720x480
给患者介绍一种牙体疾病: 楔状缺损
图片尺寸500x335