牙体缺损图片

牙科医生讲义第八讲:牙体缺损的病因,影响,种类
图片尺寸704x468
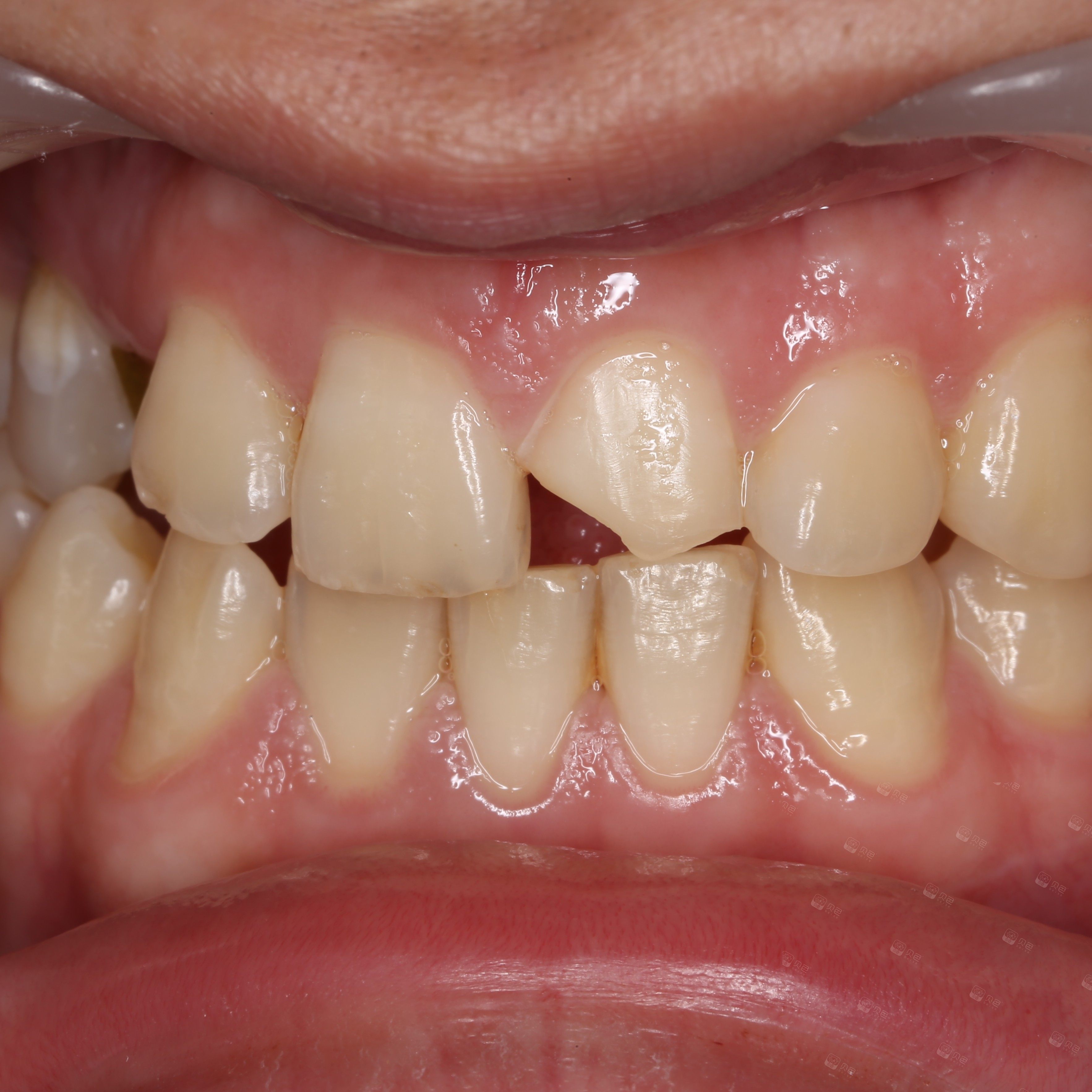
临床诊断:左上中切牙牙体缺损.
图片尺寸660x462
牙体缺损极佳修复方式嵌体
图片尺寸978x549
现病史:患者自诉多年前左下后牙在外院治疗过 也充填了 不久后
图片尺寸640x426
美学修复45牙体缺损,残冠.45牙体缺损,残冠,行rct治疗 - 抖音
图片尺寸741x494
下颌35,36,37,45,46,47缺失.44牙体缺损,根尖有瘘管.口内卫生不佳.
图片尺寸583x328
牙齿缺损严重可以补牙吗
图片尺寸1440x994
南昌辉煌口腔医院美学树脂修复牙体损失案例
图片尺寸3531x3531
牙体缺损修复,断牙重生
图片尺寸600x308
牙体缺损修复的预防学考量范丽苑副教授
图片尺寸1080x649
以近日就诊的这位阿姨为例: 前牙缺损显而易
图片尺寸4704x1470
牙齿缺损的成因是什么 会带来哪些危害呢
图片尺寸1600x960
牙体缺损修复的预防学考量范丽苑副教授
图片尺寸690x544
牙科医生讲义第八讲:牙体缺损的病因,影响,种类
图片尺寸658x494
牙齿美容修复可以改善哪些问题?注意事项有什么?
图片尺寸400x400
近日,汉药口腔接诊了一位因外伤导致的前牙缺损的病例,术前照片如图
图片尺寸1080x432
缺失牙修复-陈峥副主任医师-爱问医生
图片尺寸1800x1208
牙客公益课|牙体缺损分级修复病例讲析—高利敏
图片尺寸497x497
3 人 赞同了该文章 由于外伤,龋坏,咀嚼磨耗等原因造成牙体缺损,来到
图片尺寸548x356
x线片示11牙牙体缺损至髓腔,根尖周疑似牙周膜增宽,21牙牙体缺损,根尖
图片尺寸680x453