牙体缺损图片对比

楔状缺损:牙齿的唇,颊或舌面牙颈部的硬组织,在机械摩擦,酸蚀 - 抖音
图片尺寸1440x2818
如何治疗楔状缺损?补牙过程分享~医生视角
图片尺寸960x540
记录95##补牙##牙齿楔状缺损##楔状缺损
图片尺寸681x918
楔状缺损##咬合##友睦口腔
图片尺寸690x920
牙体,牙列缺损与牙列缺失的区别! - 知乎
图片尺寸600x400
牙齿缺损如破镜,修复弥补焕新颜
图片尺寸3442x4590
牙尖交错位蓝色:功能运动治疗前后对比术后总结1
图片尺寸800x325
牙体缺损,牙列缺损与牙列缺失三者之间的区别!
图片尺寸357x238
总的来说,牙齿楔状缺损是一种可以通过正确的预防和科学的治疗来控制
图片尺寸1080x706
牙体缺损
图片尺寸400x222
除了全冠,牙体缺损还有哪些恢复牙体组织的办法呢?
图片尺寸640x360
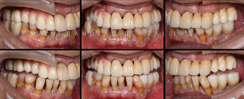
多学科合作的修复模式:修复科通过与口外,牙体,牙周,正畸等多学科合作
图片尺寸640x960
外伤导致门牙缺损 这多影响美观呀
67
图片尺寸1080x1241
患者后牙缺损
图片尺寸466x300
牙体,牙列缺损
图片尺寸500x375
女子门牙意外撞折缺损一部分,贴面修复还原外貌
图片尺寸660x465
种植牙医院和医生怎么选?
图片尺寸708x584
考点知识→牙体缺损
图片尺寸968x597
几种常见牙体缺损快来看你有没有中招
图片尺寸4000x2480
蛀牙缺损比较大嵌体修复了解一下
图片尺寸1080x7058