牙冠过短图片

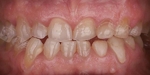
牙根短 牙骨槽薄 有没有情况一样的牙友
图片尺寸1080x579
这颗牙冠这样做合理吗?
图片尺寸640x398
这样牙根短建议正畸吗
图片尺寸620x983
牙根短可以正畸吗,风险大吗?
图片尺寸720x960
牙齿短小可以接牙吗?来看看我在杭州美奥做的效果很哇塞!
图片尺寸500x249
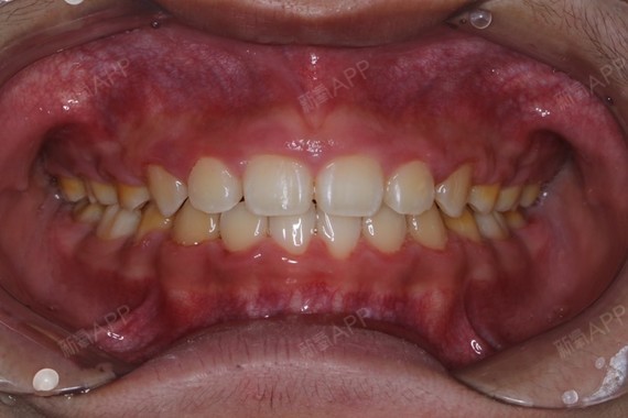
骨性偏颌 深覆合 牙冠短小 漏龈笑 中线不齐_口腔_牙冠_深覆合_隐适美
图片尺寸1080x1080
冠延长手术是现在很常见的一种牙周手术,主要用于露龈笑,牙冠过短
图片尺寸1080x1441
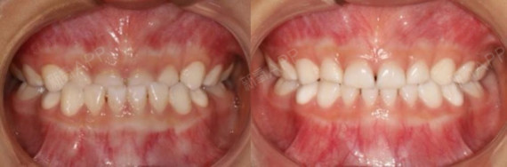
短下巴治疗前后对比 孩子牙齿没换完就不能做正畸?
图片尺寸570x188
一例门牙有缝影响美观的贴面 牙冠修复病例
图片尺寸1280x960
怎么办门牙短了一节
图片尺寸1080x711
内制作临时冠如下图:制作美学蜡型如下图:患者迫切要求短时间内恢复牙
图片尺寸620x411
所以牙齿不齐的病例在很短的时间内就能看到改变,比如"大白杨",半年
图片尺寸1200x800
不想去牙医院想在网上买个牙套但不知道门牙那颗短的该怎么办?
图片尺寸876x499
美牙冠安全吗?
图片尺寸591x247
短短90天牙齿变化惊人
图片尺寸1089x795
短短90天牙齿变化惊人
图片尺寸921x631
因为听说传统的牙套会比隐形的牙套时间短,唯一的缺点就是不太美观
图片尺寸570x380
做个牙冠需要多少钱1000元的全瓷牙和1500的区别
图片尺寸960x584
终于戴上牙套了, 终于戴上牙套了,听好
图片尺寸570x760
整牙整容成年人正畸效果明显吗如何选择医生和牙套
图片尺寸659x502