牙冠 做完

第1天
图片尺寸540x960
因为选择的是美观效果很好的全瓷牙冠,因为这位朋友的牙齿颜色基本也
图片尺寸1000x604
第一图为做了临时牙冠,第二,三图为带了临时蜡形牙冠_圈子-新氧美容
图片尺寸570x760
我的美篇
图片尺寸1125x750
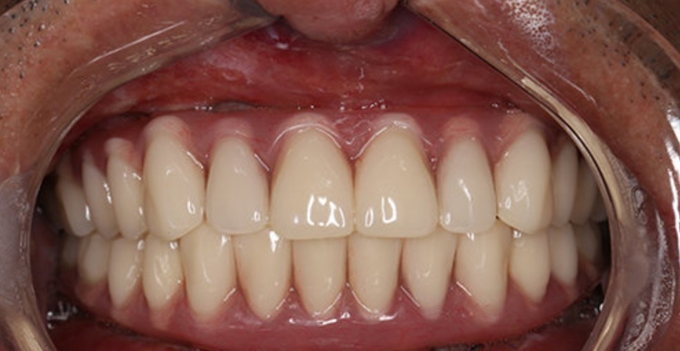
淮海医院口腔科大联冠修复病历
图片尺寸1284x1080
牙冠修复案例分享~博诚口腔
图片尺寸1728x1080
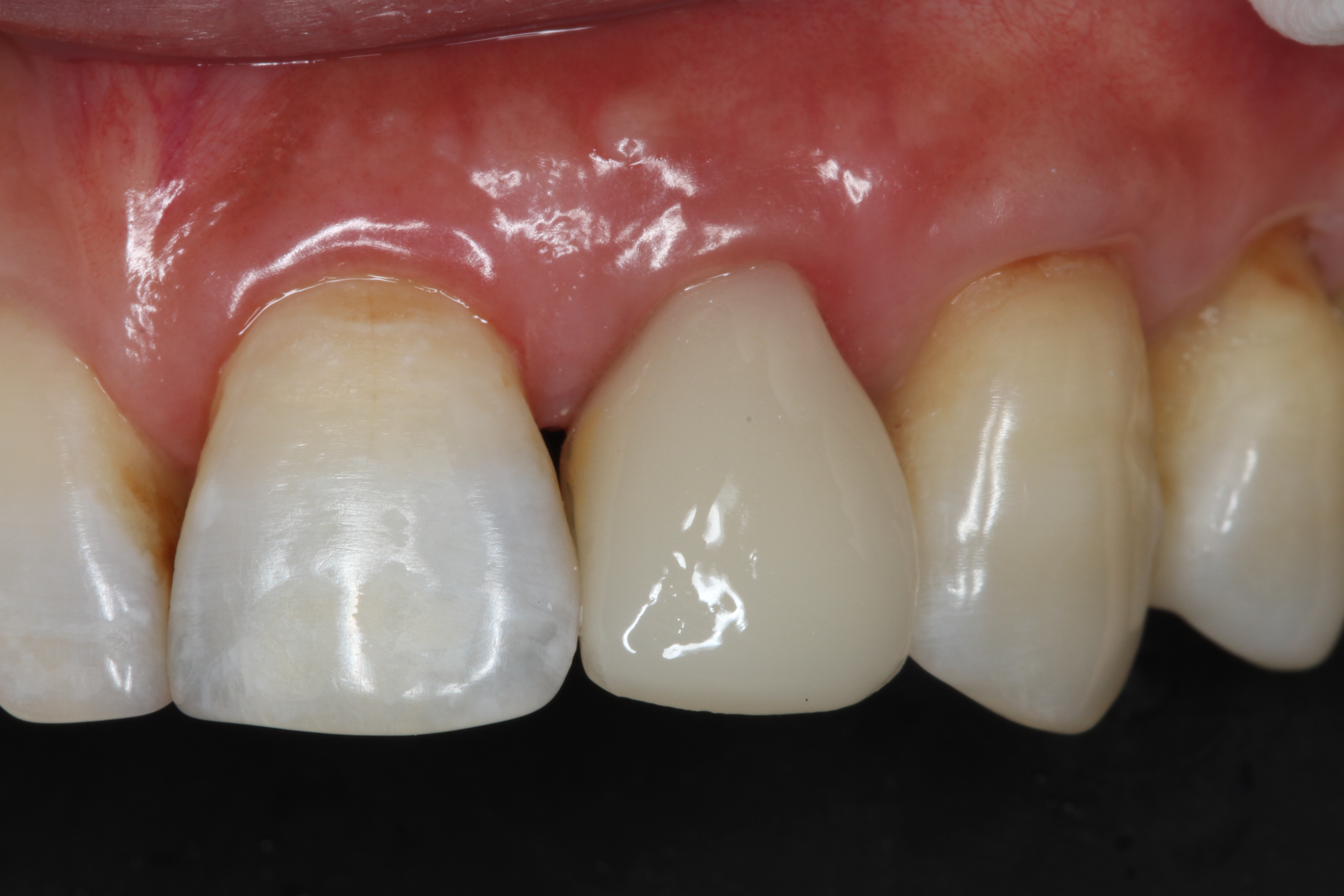
即刻修复瓷睿刻全瓷前牙美学修复案例
图片尺寸3456x2304
1,做烤瓷牙的时候,医生会把你健康的牙齿给磨小,以便戴上牙冠,在长期
图片尺寸1080x724
三例下前牙冠修复的回顾与反思
图片尺寸609x460
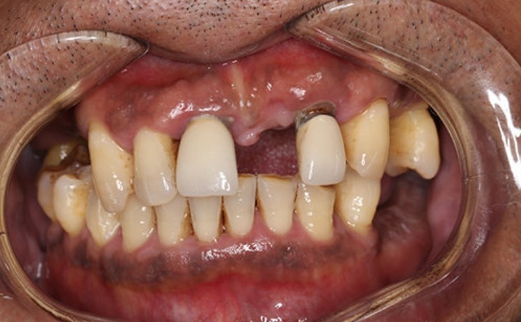
做完手术已经几个月了,牙冠是5个月左右的时候装上去_圈子-新氧美容
图片尺寸987x509
后牙冠修复
图片尺寸680x451
做完手术已经几个月了,牙冠是5个月左右的时候装上去_圈子-新氧美容
图片尺寸746x461
诉说我做完即刻用全口种植牙后悔了的感受个人感觉广州广大口腔很正规
图片尺寸465x307
基牙烂掉概率是多少?
图片尺寸870x658
做牙冠多少钱一颗?来看看这份烤瓷牙的价格表就知道啦!
图片尺寸500x500
恢复时间 7天 收藏 做完根管治疗杀完神经一段时间就要去佩戴牙冠
图片尺寸500x500
美然全瓷牙套的寿命是几年能用一辈子吗
图片尺寸599x732
做了烤瓷牙我不想活了,烤瓷牙套里面牙烂光了!
图片尺寸500x333
⑤装牙冠.
图片尺寸300x204
门牙做了种植牙全瓷牙冠能用多久
图片尺寸1000x623