牙列不齐对比

牙列不齐矫正方法
图片尺寸601x232
牙列不齐矫正前后对比照片
图片尺寸400x206
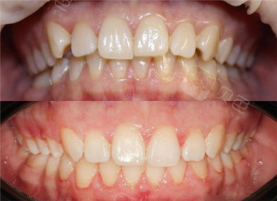
牙列不齐反合矫正前后对比
图片尺寸500x695
牙齿不齐的类型
图片尺寸823x454
迎春节送健康哈医大一院口腔正畸专家提示儿童牙齿不齐需要及时矫治
图片尺寸550x183
牙不齐(倾斜,拥挤)是怎样的体验?
图片尺寸720x720
山观牙列稀疏的形成原因有哪些-全隐形矫正-江阴牙
图片尺寸360x304
矫正前后正面微笑对比矫正诊断:咬合错位,牙列拥挤,中线不齐.
图片尺寸1024x500
牙齿轻微不齐矫正前后对比
图片尺寸400x290
牙列不齐有危害可能比你想象中的多
图片尺寸1080x1440
牙列不齐前牙缝隙大,矫正后笑容更灿烂
图片尺寸726x324
拥挤的牙齿越来越不齐?矫正迫在眉睫
图片尺寸1000x1975
牙列不齐对口腔有什么危害
图片尺寸570x326
小姐姐在生活中,深受牙齿不齐问题的困扰,在对比了许多的口腔医院后
图片尺寸270x310
淀山湖牙齿上下不齐该怎么矫正
图片尺寸500x300
七类常见的牙齿不齐,需要进行矫正__凤凰网
图片尺寸566x449
牙列不齐对比照片
图片尺寸727x259
牙列不齐矫正前后牙齿对比
图片尺寸500x888
矫正前后面像对比这位28岁的女士,因为牙齿拥挤不齐_圈子-新氧美容
图片尺寸570x381
拥挤的牙齿越来越不齐?矫正迫在眉睫
图片尺寸1000x725