牙列间隙

牙间隙总.jpg
图片尺寸1200x600
瓷贴面修复前牙散在间隙 - 好大夫在线
图片尺寸2312x1535
牙齿间隙大
图片尺寸640x321
牙齿数量不足引起牙间隙
图片尺寸559x383
谁的青春不迷茫你的牙齿还好吗
图片尺寸598x398
前牙间隙美观修复一例
图片尺寸972x581
塞住了再用牙签去剔,周而复始,成为恶性循环, 使牙间隙增大,牙龈
图片尺寸500x300
牙科牙间隙牙科间隙楔 牙间隙楔子普通塑料楔子牙科专用间隙楔子
图片尺寸1800x1800
乳牙列的生理间隙 间隙型(spaced primary dentition)96% 闭锁型
图片尺寸1080x810
牙间隙过大的危害有哪些?
图片尺寸472x343
前牙间隙怎么关闭?
图片尺寸640x480
牙间隙是什么
图片尺寸407x242
牙体缺损修复原则及要点总结
图片尺寸640x730
8--牙列间隙的系列矫治
图片尺寸1035x583
济南九二零口腔医院门牙间隙贴面治疗案例
图片尺寸1620x1080
为什么会牙缝大有哪些危害牙齿稀疏牙缝太大不好看到底要不要解决
图片尺寸720x505
牙齿间隙变大怎么办牙齿缝隙大该怎么办
图片尺寸1080x537
1121之间存在45mm间隙你该如何修复来看看国外大咖的修复病例
图片尺寸900x604
正畸关闭超大中切牙间隙
图片尺寸680x510
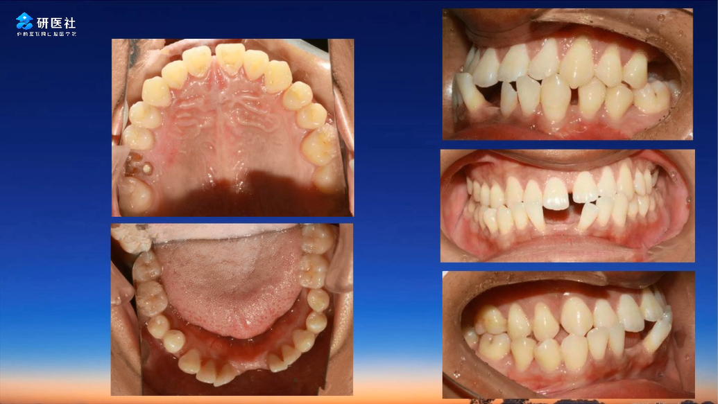
【病例分享】下颌散在牙间隙的关闭
图片尺寸1080x579