牙周治疗图片

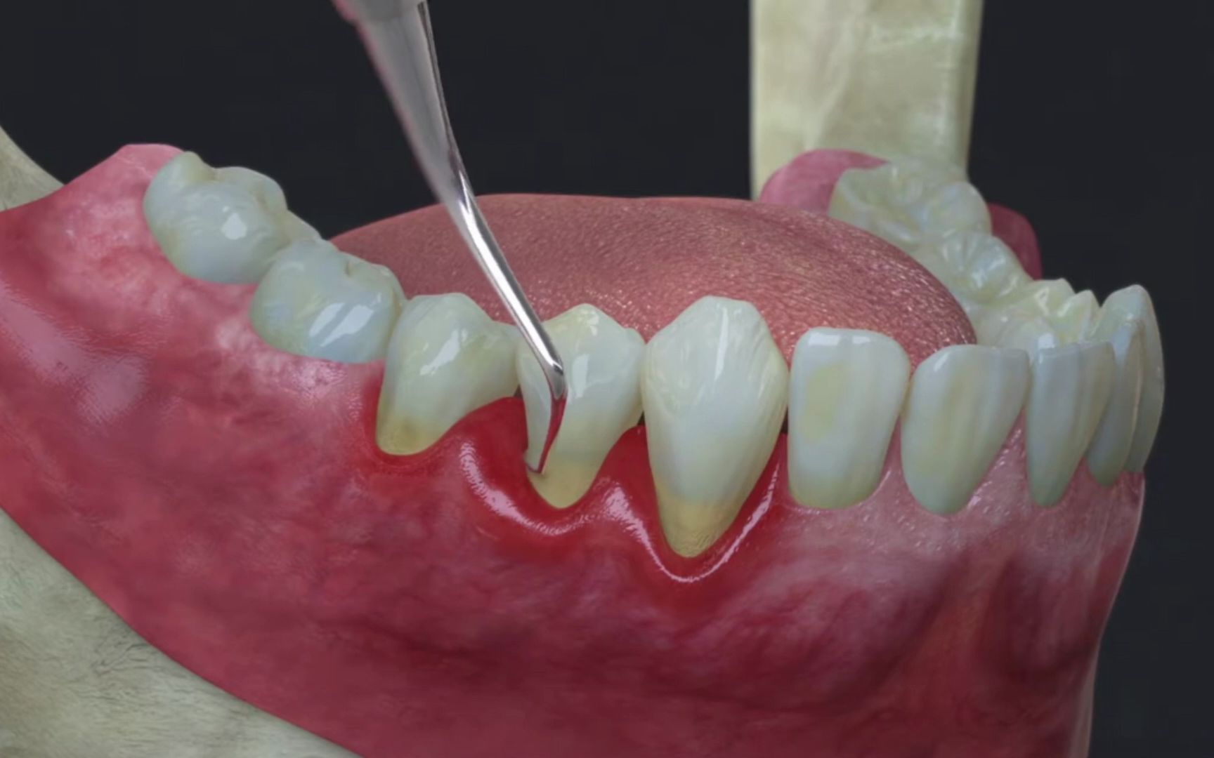
牙周基础治疗过程操作示例
图片尺寸1728x1080
闫福华教授:牙周基础治疗注意事项
图片尺寸622x322
牙周病治疗案例
图片尺寸872x768
牙周病治疗
图片尺寸490x221
最近追踪的一位32岁男性牙周炎患者近两年牙龈一直红肿出血 一 - 抖音
图片尺寸1440x1080
口腔跨学科治疗中的规范化牙周治疗程序——一例重度慢性牙周炎患者的
图片尺寸1233x823
口腔跨学科治疗中的规范化牙周治疗程序——一例重度慢性牙周炎患者的
图片尺寸1242x843
口腔卫生:刮治和根刨(常规牙周治疗).
图片尺寸1200x847
深度图解:牙周治疗—龈下刮治术
图片尺寸640x307
患者牙周治疗及修复治疗完成前后对比见图9~10.
图片尺寸1080x678
患上牙周病的情况有哪些
图片尺寸450x258
口腔跨学科治疗中的规范化牙周治疗程序——一例重度慢性牙周炎患者的
图片尺寸1242x843
案例分享:牙周病治疗案例
图片尺寸2592x1936
错还以为老掉牙是因为年龄吗真正原因是牙周病
图片尺寸774x257
牙周炎怎么治疗?牙龈炎怎么治疗?资深牙医给出建议
图片尺寸640x1088
牙周治疗
图片尺寸647x180
正大华盛一例牙周翻瓣联合种植病例
图片尺寸2558x1661
伴口呼吸的牙周炎治疗一例
图片尺寸1080x343
牙周基础治疗
图片尺寸870x490
牙周疾病的治疗离不开牙周翻瓣术
图片尺寸393x284